• Tel: 858.663.9055
  • SeparatorEmail: info@nsjbio.com
  • Tel: 858.663.9055
  • Email: info@nsjbio.com
Home >> Antibodies >> StAR Antibody Protein Microarray Validated Clone STAR/2140 / Steroidogenic acute regulatory protein

StAR Antibody Protein Microarray Validated Clone STAR/2140 / Steroidogenic acute regulatory protein [clone STAR/2140] (V3891)

  Catalog No Formulation Size Price (USD)  
Image V3891-100UG 0.2 mg/ml in 1X PBS with 0.1 mg/ml BSA (US sourced) and 0.05% sodium azide 100 ug 559
Image
V3891-20UG 0.2 mg/ml in 1X PBS with 0.1 mg/ml BSA (US sourced) and 0.05% sodium azide 20 ug 259
Image
V3891SAF-100UG 1 mg/ml in 1X PBS; BSA free, sodium azide free 100 ug 559
Microvalidated
Bulk quote request
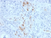
StAR Antibody Protein Microarray Validated Clone STAR/2140. Immunohistochemistry analysis of Steroidogenic Acute Regulatory Protein (StAR / STARD1) in FFPE human adrenal gland tissue using a mouse monoclonal antibody validated by large-scale protein microarray specificity screening. HRP-DAB brown cytoplasmic staining highlights steroidogenic cells of the adrenal cortex, consistent with the mitochondrial localization of StAR in steroid hormone-producing endocrine cells, while surrounding stromal and non-steroidogenic tissues show minimal staining. Heat-induced epitope retrieval was performed by boiling tissue sections in 10 mM citrate buffer, pH 6, for 10-20 minutes followed by cooling at room temperature for 20 minutes prior to staining.
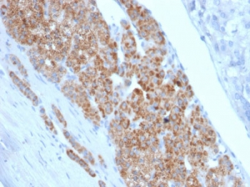
StAR Antibody Protein Microarray Validated Clone STAR/2140. Immunohistochemistry analysis of Steroidogenic Acute Regulatory Protein (StAR / STARD1) in FFPE human testicular carcinoma tissue using a mouse monoclonal antibody validated by protein microarray specificity screening. HRP-DAB brown cytoplasmic staining highlights tumor cells with steroidogenic differentiation, consistent with the mitochondrial localization of StAR in steroid hormone-producing cells, while surrounding stromal and non-steroidogenic tissues show minimal staining. Heat-induced epitope retrieval was performed by boiling tissue sections in 10 mM citrate buffer, pH 6, for 10-20 minutes followed by cooling at room temperature for 20 minutes prior to staining.
StAR Antibody Protein Microarray Validated Clone STAR/2140. Protein microarray specificity validation using a HuProt(TM) array containing more than 19,000 full-length human proteins demonstrates highly selective recognition of Steroidogenic Acute Regulatory Protein (StAR / STARD1) by the STAR/2140 mouse monoclonal antibody. Signal ranking analysis shows STARD1 as the top target with a Z-score of 99.31 and S-score of 92.41, while all other proteins display substantially lower signals, supporting strong antibody specificity and minimal cross-reactivity. Z-scores represent the strength of antibody binding signals measured in standard deviations above the mean signal across the array, while S-scores represent the difference in Z-scores between ranked proteins and therefore reflect relative target specificity for the intended antigen.
SDS-PAGE analysis of purified, BSA-free StAR antibody (clone STAR/2140) as confirmation of integrity and purity.
Species Reactivity Human
Format Purified
Host Mouse
Clonality Monoclonal (mouse origin)
Isotype Mouse IgG2b, kappa
Clone Name STAR/2140
Purity Protein G affinity chromatography
UniProt P49675
Localization Cytoplasmic (mitochondrial)
Applications Immunohistochemistry (FFPE) : 1-2ug/ml for 30 min at RT
Limitations This StAR antibody is available for research use only.
Review this product on BioCompare and get a $20 Amazon gift card

Related Products

Description

Steroidogenic Acute Regulatory Protein (StAR), encoded by the STARD1 gene, is a mitochondrial cholesterol transport protein that performs the rate-limiting step in steroid hormone biosynthesis. StAR Antibody Protein Microarray Validated Clone STAR/2140 is a mouse monoclonal antibody developed for highly specific detection of Steroidogenic Acute Regulatory Protein in endocrine and steroidogenesis research. A defining feature of this reagent is its validation by large-scale protein microarray specificity screening, in which antibody binding is evaluated against thousands of human proteins simultaneously. This systematic testing approach allows investigators to assess potential cross-reactivity across a broad protein landscape and provides strong evidence that the antibody selectively recognizes the intended StAR antigen.

StAR plays a central role in steroid hormone production by mediating the transfer of cholesterol from the outer mitochondrial membrane to the inner mitochondrial membrane, where the first enzymatic step of steroidogenesis occurs. Because this cholesterol transport event represents the rate-limiting step in steroid hormone synthesis, StAR is widely studied in endocrine physiology and steroidogenic signaling pathways. StAR Antibody Protein Microarray Validated Clone STAR/2140 therefore provides a reagent designed for specific detection of this key regulatory protein in studies examining mitochondrial cholesterol transport and hormone biosynthesis.

StAR expression is strongly enriched in steroid-producing endocrine tissues including the adrenal cortex, testicular Leydig cells, and ovarian theca and luteal cells. These specialized cells require rapid cholesterol delivery into mitochondria to support synthesis of glucocorticoids, mineralocorticoids, and sex steroids. Because StAR expression reflects the steroidogenic capacity of these endocrine cell populations, detection of Steroidogenic Acute Regulatory Protein is widely used to investigate regulation of steroid hormone production, endocrine cell differentiation, and signaling pathways that control steroidogenesis.

Protein microarray validation provides a powerful method to evaluate antibody specificity in modern research workflows. In protein microarray experiments, antibodies are screened against arrays containing thousands of recombinant proteins, enabling large-scale assessment of binding selectivity under controlled conditions. This approach allows potential off-target interactions to be identified and helps confirm that antibody binding is restricted primarily to the intended target protein. For antibodies recognizing mitochondrial regulatory proteins such as StAR, protein microarray validation offers an important layer of specificity testing beyond traditional validation approaches.

Through this large-scale protein microarray specificity screening strategy, StAR Antibody Protein Microarray Validated Clone STAR/2140 is designed to provide selective recognition of Steroidogenic Acute Regulatory Protein while minimizing potential cross-reactivity with unrelated proteins. This level of specificity supports research investigating steroid hormone biosynthesis, mitochondrial cholesterol transport, and endocrine tissue biology in studies examining adrenal and gonadal steroidogenic function.

Application Notes

The concentration stated for each application is a general starting point. Variations in protocols, secondaries and substrates may require the StAR Antibody Protein Microarray Validated Clone STAR/2140 to be titered up or down for optimal performance.

Immunogen

A portion of amino acids 39-108 from the human protein was used as the immunogen for this StAR antibody.

Storage

Store the StAR antibody at 2-8oC (with azide) or aliquot and store at -20oC or colder (without azide).

Alternate Names

StAR antibody, Steroidogenic acute regulatory protein antibody, STARD1 antibody, STAR protein antibody, Cholesterol transport protein StAR antibody

Cross
Bulk Quote Request Form
Name*:
Organization*:
Email*:
Phone Number*:
Catalog No.*:
Comments and Specifics(amount, formulation, etc.)*:
Validation code: Captchapackage Image


Can't read the image? click here to refresh.
    *required field

Your bulk quote request has been submitted successfully!

Please contact us if you have any questions.