• Tel: 858.663.9055
  • SeparatorEmail: info@nsjbio.com
  • Tel: 858.663.9055
  • Email: info@nsjbio.com
Home >> Antibodies >> STAP2 Antibody

STAP2 Antibody (R34734)

  Catalog No Formulation Size Price (USD)  
Image R34734-100UG 0.5 mg/ml in 1X TBS, pH7.3, with 0.5% BSA (US sourced) and 0.02% sodium azide 100 ug 475
Bulk quote request
Western blot testing of human breast lysate with STAP2 antibody at 0.3ug/ml. Predicted molecular weight: ~50 kDa.
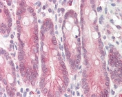
IHC testing of FFPE human small intestine with STAP2 antibody at 3.75ug/ml. HIER: steamed antigen retrieval with pH6 citrate buffer; AP-staining.
Availability 1-3 business days
Species Reactivity Human
Format Antigen affinity purified
Host Goat
Clonality Polyclonal (goat origin)
Isotype Goat Ig
Purity Antigen affinity
Gene ID 55620
Localization Cytoplasmic
Applications Western Blot : 0.3-1ug/ml
IHC (FFPE) : 3-6ug/ml
ELISA (peptide) LOD : 1:128000
Limitations This STAP2 antibody is available for research use only.
Review this product on BioCompare and get a $20 Amazon gift card

Related Products

  • Applications : WB, ELISA (peptide)
    Reactivity : Mouse
    Pred. Reactivity : Cow, Rat
  • Applications : WB, ELISA (peptide)
    Reactivity : Human

Description

Additional name(s) for this target protein: Signal transducing adaptor family member 2

Application Notes

Optimal dilution of the STAP2 antibody should be determined by the researcher.

1. This STAP2 antibody will detect isoforms 1 and 2.

Immunogen

Amino acids LQKKLEKRRALEH were used as the immunogen for this STAP2 antibody.

Storage

Aliquot and store the STAP2 antibody at -20oC.

Cross
Bulk Quote Request Form
Name*:
Organization*:
Email*:
Phone Number*:
Catalog No.*:
Comments and Specifics(amount, formulation, etc.)*:
Validation code: Captchapackage Image


Can't read the image? click here to refresh.
    *required field

Your bulk quote request has been submitted successfully!

Please contact us if you have any questions.