• Tel: 858.663.9055
  • SeparatorEmail: info@nsjbio.com
  • Tel: 858.663.9055
  • Email: info@nsjbio.com
Home >> Antibodies >> SRI Antibody / Sorcin

SRI Antibody / Sorcin (RQ4661)

  Catalog No Formulation Size Price (USD)  
Image RQ4661 0.5mg/ml if reconstituted with 0.2ml sterile DI water 100 ug 449
Bulk quote request
Western blot testing of human 1) placenta, 2) U-2 OS, 3) A431, 4) PC-3, 5) HL-60, 6) K562, 7) Caco-2, 8) rat lung and 9) mouse lung lysate with SRI antibody at 0.5ug/ml. Predicted molecular weight ~22 kDa, routinely observed at 22-29 kDa.
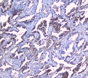
IHC staining of FFPE human intestinal cancer with SRI antibody at 1ug/ml. HIER: boil tissue sections in pH6, 10mM citrate buffer, for 10-20 min followed by cooling at RT for 20 min.
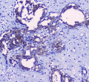
IHC staining of FFPE human breast cancer with SRI antibody at 1ug/ml. HIER: boil tissue sections in pH6, 10mM citrate buffer, for 10-20 min followed by cooling at RT for 20 min.
IHC staining of FFPE human lung cancer with SRI antibody at 1ug/ml. HIER: boil tissue sections in pH6, 10mM citrate buffer, for 10-20 min followed by cooling at RT for 20 min.
Availability 1-3 business days
Species Reactivity Human, Mouse, Rat
Format Antigen affinity purified
Host Rabbit
Clonality Polyclonal (rabbit origin)
Isotype Rabbit IgG
Purity Antigen affinity purified
Buffer Lyophilized from 1X PBS with 2% Trehalose and 0.025% sodium azide
UniProt P30626
Localization Cytoplasmic, nuclear
Applications Western Blot : 0.5-1ug/ml
IHC (FFPE) : 1-2ug/ml
Limitations This SRI antibody is available for research use only.
Review this product on BioCompare and get a $20 Amazon gift card

Related Products

  • Applications : WB
    Reactivity : Human, Rat
  • Applications : WB, IF, FACS, Direct ELISA
    Reactivity : Human, Mouse, Rat

Description

Sorcin is a protein that in humans is encoded by the SRI gene. It is mapped to 7q21.1. This gene encodes a calcium-binding protein with multiple E-F hand domains that relocates from the cytoplasm to the sarcoplasmic reticulum in response to elevated calcium levels. In addition to regulating intracellular calcium homeostasis it also modulates excitation-contraction coupling in the heart. Alternative splicing results in multiple transcript variants encoding distinct proteins. Multiple pseudogenes exist for this gene.

Application Notes

Optimal dilution of the SRI antibody should be determined by the researcher.

Immunogen

Amino acids TVDPQELQKALTTMGFRLSPQAVNSIAKRY were used as the immunogen for the SRI antibody.

Storage

After reconstitution, the SRI antibody can be stored for up to one month at 4oC. For long-term, aliquot and store at -20oC. Avoid repeated freezing and thawing.

Cross
Bulk Quote Request Form
Name*:
Organization*:
Email*:
Phone Number*:
Catalog No.*:
Comments and Specifics(amount, formulation, etc.)*:
Validation code: Captchapackage Image


Can't read the image? click here to refresh.
    *required field

Your bulk quote request has been submitted successfully!

Please contact us if you have any questions.