• Tel: 858.663.9055
  • SeparatorEmail: info@nsjbio.com
  • Tel: 858.663.9055
  • Email: info@nsjbio.com
Home >> Antibodies >> SRF Antibody

SRF Antibody (R35203)

  Catalog No Formulation Size Price (USD)  
Image R35203-100UG 0.5 mg/ml in 1X TBS, pH7.3, with 0.5% BSA (US sourced) and 0.02% sodium azide 100 ug 475
Bulk quote request
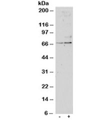
Western blot testing of untreated (left) and TGFBI-treated (right, 1ng/ml, 24hr) primary cultured human lung fibroblasts with SRF antibody at 1ug/ml. Predicted molecular weight: ~52/60-70kDa (unmodified/phosphorylated).
Availability 1-3 business days
Species Reactivity Human
Predicted Reactivity Cow, Dog, Mouse
Format Antigen affinity purified
Host Goat
Clonality Polyclonal (goat origin)
Isotype Goat Ig
Purity Antigen affinity
Gene ID 6722
Applications Western Blot : 1-3ug/ml
ELISA (peptide) LOD : 1:32000
Limitations This SRF antibody is available for research use only.
Review this product on BioCompare and get a $20 Amazon gift card

Related Products

Description

Additional name(s) for this target protein: Serum response factor

Application Notes

Optimal dilution of the SRF antibody should be determined by the researcher.

Immunogen

Amino acids QASPSRDSSTDLTQ were used as the immunogen for this SRF antibody.

Storage

Aliquot and store the SRF antibody at -20oC.

Cross
Bulk Quote Request Form
Name*:
Organization*:
Email*:
Phone Number*:
Catalog No.*:
Comments and Specifics(amount, formulation, etc.)*:
Validation code: Captchapackage Image


Can't read the image? click here to refresh.
    *required field

Your bulk quote request has been submitted successfully!

Please contact us if you have any questions.