• Tel: 858.663.9055
  • SeparatorEmail: info@nsjbio.com
  • Tel: 858.663.9055
  • Email: info@nsjbio.com
Home >> Antibodies >> SNX8 Antibody

SNX8 Antibody (R36242)

  Catalog No Formulation Size Price (USD)  
Image R36242-100UG 0.5 mg/ml in 1X TBS, pH7.3, with 0.5% BSA (US sourced) and 0.02% sodium azide 100 ug 475
Bulk quote request
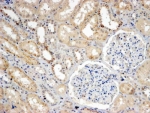
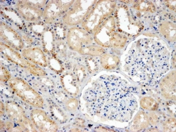
IHC testing of FFPE human kidney with SNX8 antibody at 4ug/ml. HIER: steamed with pH9 Tris/EDTA buffer, HRP-staining.
Availability 1-3 business days
Species Reactivity Human
Format Antigen affinity purified
Host Goat
Clonality Polyclonal (goat origin)
Isotype Goat Ig
Purity Antigen affinity
Gene ID 29886
Applications Immunohistochemistry (FFPE) : 4-8ug/ml
ELISA (peptide) LOD : 1:8000
Limitations This SNX8 antibody is available for research use only.
Review this product on BioCompare and get a $20 Amazon gift card

Description

Additional name(s) for this target protein: Sorting nexin 8

Application Notes

Optimal dilution of the SNX8 antibody should be determined by the researcher.

Immunogen

Amino acids TPPCSPPEDGLCPH were used as the immunogen for this SNX8 antibody.

Storage

Aliquot and store the SNX8 antibody at -20oC.

Cross
Bulk Quote Request Form
Name*:
Organization*:
Email*:
Phone Number*:
Catalog No.*:
Comments and Specifics(amount, formulation, etc.)*:
Validation code: Captchapackage Image


Can't read the image? click here to refresh.
    *required field

Your bulk quote request has been submitted successfully!

Please contact us if you have any questions.