• Tel: 858.663.9055
  • SeparatorEmail: info@nsjbio.com
  • Tel: 858.663.9055
  • Email: info@nsjbio.com
Home >> Antibodies >> SNAIL Antibody

SNAIL Antibody (R35656)

  Catalog No Formulation Size Price (USD)  
Image R35656-100UG 0.5 mg/ml in 1X TBS, pH7.3, with 0.5% BSA (US sourced) and 0.02% sodium azide 100 ug 475
Bulk quote request
Western blot testing of human A431 lysate with SNAIL antibody at 0.1ug/ml. Predicted molecular weigth ~29 kDa.
Western blot testing of rat kidney lysate with SNAIL antibody at 0.1ug/ml. Predicted molecular weigth ~29 kDa.
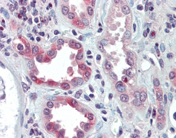
IHC testing of FFPE human kidney tissue with SNAIL antibody at 5ug/ml. Required HIER: steamed antigen retrieval with pH6 citrate buffer; AP-staining.
Availability 1-3 business days
Species Reactivity Human, Rat
Predicted Reactivity Mouse
Format Antigen affinity purified
Host Goat
Clonality Polyclonal (goat origin)
Isotype Goat Ig
Purity Antigen affinity
Gene ID 6615
Applications Western Blot : 0.1-0.3ug/ml
IHC (FFPE) : 5ug/ml
ELISA (peptide) LOD : 1:128000
Limitations This SNAIL antibody is available for research use only.
Review this product on BioCompare and get a $20 Amazon gift card

Related Products

  • Applications : WB, ELISA
    Reactivity : Human
  • Applications : WB, ELISA
    Reactivity : Human
  • Applications : WB, ELISA
    Reactivity : Human
  • Applications : IHC, WB, ELISA
    Reactivity : Human
  • Applications : WB, ELISA (peptide)
    Reactivity : Human, Rat
    Pred. Reactivity : Mouse
  • Applications : WB, FACS, Direct ELISA
    Reactivity : Human, Mouse, Rat

Description

Additional name(s) for this target protein: SNAI1, SLUGH2, SNA, SNAH

Application Notes

Optimal dilution of the SNAIL antibody should be determined by the researcher.

Immunogen

Amino acids RKPSDPNRKPNY were used as the immunogen for this SNAIL antibody.

Storage

Aliquot and store the SNAIL antibody at -20oC.

Cross
Bulk Quote Request Form
Name*:
Organization*:
Email*:
Phone Number*:
Catalog No.*:
Comments and Specifics(amount, formulation, etc.)*:
Validation code: Captchapackage Image


Can't read the image? click here to refresh.
    *required field

Your bulk quote request has been submitted successfully!

Please contact us if you have any questions.