• Tel: 858.663.9055
  • SeparatorEmail: info@nsjbio.com
  • Tel: 858.663.9055
  • Email: info@nsjbio.com
Home >> Antibodies >> SMUG1 Antibody

SMUG1 Antibody (R35105)

  Catalog No Formulation Size Price (USD)  
Image R35105-100UG 0.5 mg/ml in 1X TBS, pH7.3, with 0.5% BSA (US sourced) and 0.02% sodium azide 100 ug 475
Bulk quote request
Western blot testing of MOLT4 lysate with SMUG1 antibody at 0.5ug/ml. Predicted molecular weight: ~31 kDa.
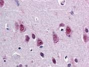
IHC testing of FFPE human brain cortex tissue with SMUG1 antibody at 5ug/ml. Required HIER: steamed antigen retrieval with pH6 citrate buffer; AP-staining.
Availability 1-3 business days
Species Reactivity Human
Format Antigen affinity purified
Host Goat
Clonality Polyclonal (goat origin)
Isotype Goat Ig
Purity Antigen affinity
Gene ID 23583
Localization Nuclear
Applications Western Blot : 0.5-1.5ug/ml
IHC (FFPE) : 5ug/ml
ELISA (peptide) LOD : 1:32000
Limitations This SMUG1 antibody is available for research use only.
Review this product on BioCompare and get a $20 Amazon gift card

Description

Additional name(s) for this target protein: Single-strand-selective monofunctional uracil-DNA glycosylase 1

Application Notes

Optimal dilution of the SMUG1 antibody should be determined by the researcher.

Immunogen

Amino acids PQAFLLGSIHEPA were used as the immunogen for this SMUG1 antibody.

Storage

Aliquot and store the SMUG1 antibody at -20oC.

Cross
Bulk Quote Request Form
Name*:
Organization*:
Email*:
Phone Number*:
Catalog No.*:
Comments and Specifics(amount, formulation, etc.)*:
Validation code: Captchapackage Image


Can't read the image? click here to refresh.
    *required field

Your bulk quote request has been submitted successfully!

Please contact us if you have any questions.