• Tel: 858.663.9055
  • SeparatorEmail: info@nsjbio.com
  • Tel: 858.663.9055
  • Email: info@nsjbio.com
Home >> Antibodies >> Smad2 Antibody

Smad2 Antibody (R30998)

  Catalog No Formulation Size Price (USD)  
Image R30998 0.5mg/ml if reconstituted with 0.2ml sterile DI water 100 ug 449
Bulk quote request
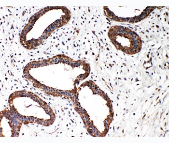
IHC-P: Smad2 antibody testing of human breast cancer tissue. HIER: steamed with pH6 citrate buffer.
ICC staining of human HeLa cells with Smad2 antibody.
Western blot testing of human 1) HeLa, 2) MCF7 and 3) MDA-MB-453 cell lysate with Smad2 antibody. Predicted molecular weight: 52~60 kDa.
Availability 1-3 business days
Species Reactivity Human
Format Antigen affinity purified
Host Rabbit
Clonality Polyclonal (rabbit origin)
Isotype Rabbit Ig
Purity Antigen affinity
Buffer Lyophilized from 1X PBS with 2.5% BSA and 0.025% sodium azide/thimerosal
UniProt Q15796
Applications Western Blot : 0.5-1ug/ml
Immunohistochemistry (FFPE) : 0.5-1ug/ml
Immunocytochemistry : 0.5-1ug/ml
Limitations This Smad2 antibody is available for research use only.
Review this product on BioCompare and get a $20 Amazon gift card

Related Products

  • Applications : WB, IHC-P, FACS
    Reactivity : Human
  • Applications : IF, WB, FACS, ELISA
    Reactivity : Human, Mouse
    Pred. Reactivity : Rat, Bovine, Pig, Chicken, Zebrafish, Drosophila
  • Applications : IF, WB, ELISA
    Reactivity : Human
    Pred. Reactivity : Mouse, Rat, Bovine, Zebrafish
  • Applications : WB, ELISA
    Reactivity : Human, Mouse, Rat
    Pred. Reactivity : Bovine, Pig, Chicken
  • Applications : WB, ELISA
    Reactivity : Mouse
  • Applications : IF, DB, ELISA
    Reactivity : Human
    Pred. Reactivity : Bovine, Chicken, Drosophila, Mouse, Pig, Rat, Zebrafish
  • Applications : WB, ELISA (peptide)
    Reactivity : Human, Mouse
    Pred. Reactivity : Cow

Description

SMAD family member 2, also known as MADR2, and MADH2 (Mothers against decapentaplegic homolog 2), is a protein that in humans is encoded by the SMAD2 gene. It belongs to the SMAD family of proteins similar to the gene products of the Drosophila gene 'mothers against decapentaplegic' (Mad) and the C. elegans gene 'Sma.' The gene has been mapped to 18q21.1, a region which is frequently deleted in colorectal cancers. SMAD2 mediates the signal of the transforming growth factor (TGF)-beta, and thus regulates multiple cellular processes, such as cell proliferation, apoptosis, and differentiation. This protein is recruited to the TGF-beta receptors through its interaction with the SMAD anchor for receptor activation (SARA) protein. In response to TGF-beta signal, this protein is phosphorylated by the TGF-beta receptors.

Application Notes

The stated application concentrations are suggested starting points. Titration of the Smad2 antibody may be required due to differences in protocols and secondary/substrate sensitivity.

Immunogen

An amino acid sequence from the N-terminus of human Smad2 (DQWDTTGLYSFSEQTRSLD) was used as the immunogen for this Smad2 antibody.

Storage

After reconstitution, the Smad2 antibody can be stored for up to one month at 4oC. For long-term, aliquot and store at -20oC. Avoid repeated freezing and thawing.

Cross
Bulk Quote Request Form
Name*:
Organization*:
Email*:
Phone Number*:
Catalog No.*:
Comments and Specifics(amount, formulation, etc.)*:
Validation code: Captchapackage Image


Can't read the image? click here to refresh.
    *required field

Your bulk quote request has been submitted successfully!

Please contact us if you have any questions.