• Tel: 858.663.9055
  • SeparatorEmail: info@nsjbio.com
  • Tel: 858.663.9055
  • Email: info@nsjbio.com
Home >> Antibodies >> SMAC/Diablo Antibody

SMAC/Diablo Antibody (F54888)

  Catalog No Formulation Size Price (USD)  
Image F54888-0.4ML In 1X PBS, pH 7.4, with 0.09% sodium azide 0.4 ml 439
Image
F54888-0.08ML In 1X PBS, pH 7.4, with 0.09% sodium azide 0.08 ml 205
Bulk quote request
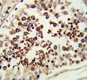
IHC testing of FFPE human testis tissue with SMAC/Diablo antibody. HIER: steam section in pH6 citrate buffer for 20 min and allow to cool prior to staining.
Western blot testing of human 1) HeLa and 2) Jurkat cell lysate with SMAC/Diablo antibody. Predicted molecular weight: 21-27 kDa.
Western blot testing of human T-47D cell lysate with SMAC/Diablo antibody. Predicted molecular weight: 21-27 kDa.
Flow cytometry testing of human MDA-MB-231 cells with SMAC/Diablo antibody; Blue=isotype control, Green= SMAC/Diablo antibody.
Availability 1-3 business days
Species Reactivity Human
Format Purified
Host Rabbit
Clonality Polyclonal (rabbit origin)
Isotype Rabbit Ig
Purity Purified
UniProt Q9NR28
Localization Cytoplasmic
Applications Flow Cytometry : 1:10-1:50 (1x10e6 cells)
Immunohistochemistry (FFPE) : 1:50-1:100
Western Blot : 1:500-1:1000
Limitations This SMAC/Diablo antibody is available for research use only.
Review this product on BioCompare and get a $20 Amazon gift card

Related Products

Description

SMAC is an inhibitor of apoptosis protein (IAP)-binding protein. This mitochondrial protein enters the cytosol when cells undergo apoptosis, and it moderates the caspase inhibition of IAPs.

Application Notes

The stated application concentrations are suggested starting points. Titration of the SMAC/Diablo antibody may be required due to differences in protocols and secondary/substrate sensitivity.

Immunogen

A portion of amino acids 211-239 from the human protein was used as the immunogen for the SMAC/Diablo antibody.

Storage

Aliquot the SMAC/Diablo antibody and store frozen at -20oC or colder. Avoid repeated freeze-thaw cycles.

Cross
Bulk Quote Request Form
Name*:
Organization*:
Email*:
Phone Number*:
Catalog No.*:
Comments and Specifics(amount, formulation, etc.)*:
Validation code: Captchapackage Image


Can't read the image? click here to refresh.
    *required field

Your bulk quote request has been submitted successfully!

Please contact us if you have any questions.