• Tel: 858.663.9055
  • SeparatorEmail: info@nsjbio.com
  • Tel: 858.663.9055
  • Email: info@nsjbio.com
Home >> Antibodies >> SLC9A2 Antibody

SLC9A2 Antibody (R31343)

  Catalog No Formulation Size Price (USD)  
Image R31343 0.5mg/ml if reconstituted with 0.2ml sterile DI water 100 ug 449
Bulk quote request
Western blot testing of mouse kidney tissue lysate with SLC9A2 antibody. Expected molecular weight ~92 kDa.
Western blot testing of rat kidney tissue lysate with SLC9A2 antibody. Expected molecular weight ~92 kDa.
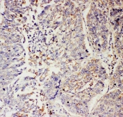
IHC staining of FFPE human lung cancer tissue with SLC9A2 antibody. HIER: boil tissue sections in pH6 citrate buffer for 20 min and allow to cool before testing.
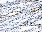
IHC staining of FFPE rat kidney tissue with SLC9A2 antibody. HIER: boil tissue sections in pH6 citrate buffer for 20 min and allow to cool before testing.
Availability 1-3 business days
Species Reactivity Human, Mouse, Rat
Format Antigen affinity purified
Host Rabbit
Clonality Polyclonal (rabbit origin)
Isotype Rabbit IgG
Purity Antigen affinity
Buffer Lyophilized from 1X PBS with 2.5% BSA and 0.025% sodium azide/thimerosal
UniProt Q9UBY0
Applications Western Blot : 0.5-1ug/ml
IHC (FFPE) : 0.5-1ug/ml
Limitations This SLC9A2 antibody is available for research use only.
Review this product on BioCompare and get a $20 Amazon gift card

Description

Sodium-hydrogen exchanger 2, also called SLC9A2 or NHE2 is a protein that in humans is encoded by the SLC9A2 gene. The Na+/H+ exchangers (NHE) are membrane proteins involved in cell volume. This protein is found in several tissues, including intestine and kidney, and is highly expressed in villus and distal convoluted tubules. It is involved in pH regulation to eliminate acids generated by active metabolism or to counter adverse environmental conditions. It seems to play an important role in colonic sodium absorption.

Application Notes

The stated application concentrations are suggested starting amounts. Titration of the SLC9A2 antibody may be required due to differences in protocols and secondary/substrate sensitivity.

Immunogen

An amino acid sequence from the C-terminus of human SLC9A2/NHE2 (RYLSLPKNTKLPEKLQKRR) was used as the immunogen for this SLC9A2 antibody.

Storage

After reconstitution, the SLC9A2 antibody can be stored for up to one month at 4oC. For long-term, aliquot and store at -20oC. Avoid repeated freezing and thawing.

Cross
Bulk Quote Request Form
Name*:
Organization*:
Email*:
Phone Number*:
Catalog No.*:
Comments and Specifics(amount, formulation, etc.)*:
Validation code: Captchapackage Image


Can't read the image? click here to refresh.
    *required field

Your bulk quote request has been submitted successfully!

Please contact us if you have any questions.