• Tel: 858.663.9055
  • SeparatorEmail: info@nsjbio.com
  • Tel: 858.663.9055
  • Email: info@nsjbio.com
Home >> Antibodies >> SLC2A5 Antibody / GLUT5

SLC2A5 Antibody / GLUT5 (R32418)

  Catalog No Formulation Size Price (USD)  
Image R32418 0.5mg/ml if reconstituted with 0.2ml sterile DI water 100 ug 449
Bulk quote request
Western blot testing of 1) rat brain and 2) human K562 lysate with SLC2A5 antibody. Expected/observed molecular weight ~55 kDa.
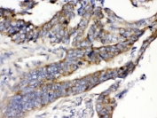
IHC testing of FFPE human intestinal cancer tissue with SLC2A5 antibody. HIER: Boil the paraffin sections in pH 6, 10mM citrate buffer for 20 minutes and allow to cool prior to testing.
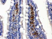
IHC testing of FFPE rat intestine with SLC2A5 antibody. HIER: Boil the paraffin sections in pH 6, 10mM citrate buffer for 20 minutes and allow to cool prior to testing.
Availability 1-3 business days
Species Reactivity Human, Rat
Format Antigen affinity purified
Host Rabbit
Clonality Polyclonal (rabbit origin)
Isotype Rabbit IgG
Purity Antigen affinity
Buffer Lyophilized from 1X PBS with 2.5% BSA and 0.025% sodium azide
UniProt P22732
Localization Cytoplasmic, membranous
Applications Western Blot : 0.1-0.5ug/ml
IHC (FFPE) : 0.5-1ug/ml
Limitations This SLC2A5 antibody is available for research use only.
Review this product on BioCompare and get a $20 Amazon gift card

Related Products

  • Applications : WB, IHC-P, IHC-F
    Reactivity : Mouse, Rat
    Citation  Citations(1)
  • Applications : WB
    Reactivity : Human
    Citation  Citations(1)

Description

SLC2A5, also known as GLUT5 (Glucose transporter 5), is a fructose transporter expressed on the apical border of enterocytes in the small intestine. The GLUT5 gene is located on chromosome 1. GLUT5 allows for fructose to be transported from the intestinal lumen into the enterocyte by facilitated diffusion due to fructose's high concentration in the intestinal lumen. GLUT5 is also expressed in skeletal muscle, testis, kidney, fat tissue, and brain. Fructose malabsorption or Dietary Fructose Intolerance is a dietary disability of the small intestine, where the amount of fructose carrier in enterocytes is deficient.

Application Notes

Optimal dilution of the SLC2A5 antibody should be determined by the researcher.

Immunogen

Amino acids QKKDEAAAKKALQTLRGWDSVDREVAEIRQEDEAEKA from the human protein were used as the immunogen for the SLC2A5 antibody.

Storage

After reconstitution, the SLC2A5 antibody can be stored for up to one month at 4oC. For long-term, aliquot and store at -20oC. Avoid repeated freezing and thawing.

Cross
Bulk Quote Request Form
Name*:
Organization*:
Email*:
Phone Number*:
Catalog No.*:
Comments and Specifics(amount, formulation, etc.)*:
Validation code: Captchapackage Image


Can't read the image? click here to refresh.
    *required field

Your bulk quote request has been submitted successfully!

Please contact us if you have any questions.