• Tel: 858.663.9055
  • SeparatorEmail: info@nsjbio.com
  • Tel: 858.663.9055
  • Email: info@nsjbio.com
Home >> Antibodies >> SLC1A4 Antibody

SLC1A4 Antibody (R31308)

  Catalog No Formulation Size Price (USD)  
Image R31308 0.5mg/ml if reconstituted with 0.2ml sterile DI water 100 ug 449
Bulk quote request
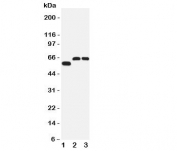
Western blot testing of SLC1A4 antibody and Lane 1: human U87; 2: rat brain; 3: mouse brain tissue lysate. Expected/observed size 60~80KD
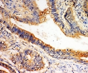
IHC-P: SLC1A4 antibody testing of human intestine cancer tissue
Availability 1-3 business days
Species Reactivity Human, Mouse, Rat
Format Antigen affinity purified
Host Rabbit
Clonality Polyclonal (rabbit origin)
Isotype Rabbit IgG
Purity Antigen affinity
Buffer Lyophilized from 1X PBS with 2.5% BSA and 0.025% sodium azide/thimerosal
UniProt P43007
Applications Western Blot : 0.5-1ug/ml
IHC (FFPE) : 0.5-1ug/ml
Limitations This SLC1A4 antibody is available for research use only.
Review this product on BioCompare and get a $20 Amazon gift card

Description

Neutral amino acid transporter A, also called ASCT1, is a protein that in humans is encodes by the SLC1A4 gene. SLC1A4 does not transport glutamate or aspartate but alanine, serine, cysteine, and threonine instead. It is found that the transporter functions primarily as an amino acid exchanger. Transport is associated with a chloride channel activity that is thermodynamically uncoupled from animo acid transport. This gene also exhibits sodium dependence.

Application Notes

The stated application concentrations are suggested starting amounts. Titration of the SLC1A4 antibody may be required due to differences in protocols and secondary/substrate sensitivity.

Immunogen

An amino acid sequence from the C-terminus of human SLC1A4 (EAIPNCKSEEETSPLVTH) was used as the immunogen for this SLC1A4 antibody.

Storage

After reconstitution, the SLC1A4 antibody can be stored for up to one month at 4oC. For long-term, aliquot and store at -20oC. Avoid repeated freezing and thawing.

Cross
Bulk Quote Request Form
Name*:
Organization*:
Email*:
Phone Number*:
Catalog No.*:
Comments and Specifics(amount, formulation, etc.)*:
Validation code: Captchapackage Image


Can't read the image? click here to refresh.
    *required field

Your bulk quote request has been submitted successfully!

Please contact us if you have any questions.