• Tel: 858.663.9055
  • SeparatorEmail: info@nsjbio.com
  • Tel: 858.663.9055
  • Email: info@nsjbio.com
Home >> Antibodies >> SLC12A4 Antibody

SLC12A4 Antibody (R33582)

  Catalog No Formulation Size Price (USD)  
Image R33582-100UG 0.5 mg/ml in 1X TBS, pH7.3, with 0.5% BSA (US sourced) and 0.02% sodium azide 100 ug 475
Bulk quote request
Western blot testing of human heart lysate with SLC12A4 antibody at 0.3ug/ml. Predicted molecular weight: ~121 kDa, observed here at ~150 kDa.
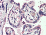
IHC testing of FFPE human placental tissue with SLC12A4 antibody at 5ug/ml. Steamed antigen retrieval with citrate buffer pH 6, AP-staining.
Availability 1-3 business days
Species Reactivity Human
Predicted Reactivity Mouse, Rat, Dog
Format Antigen affinity purified
Host Goat
Clonality Polyclonal (goat origin)
Isotype Goat Ig
Purity Antigen affinity
Gene ID 6560
Localization Cytoplasmic, membrane
Applications Western Blot : 0.3-1ug/ml
IHC (FFPE) : 5ug/ml
ELISA (peptide) LOD : 1:4000
Limitations This SLC12A4 antibody is available for research use only.
Review this product on BioCompare and get a $20 Amazon gift card

Description

Additional name(s) for this target protein: Solute carrier family 12 (potassium/chloride transporters), member 4; KCC1

Application Notes

Optimal dilution of the SLC12A4 antibody should be determined by the researcher.

Immunogen

Amino acids DPSHAPDNFRE were used as the immunogen for this SLC12A4 antibody.

Storage

Aliquot and store the SLC12A4 antibody at -20oC.

Cross
Bulk Quote Request Form
Name*:
Organization*:
Email*:
Phone Number*:
Catalog No.*:
Comments and Specifics(amount, formulation, etc.)*:
Validation code: Captchapackage Image


Can't read the image? click here to refresh.
    *required field

Your bulk quote request has been submitted successfully!

Please contact us if you have any questions.