- Tel: 858.663.9055
- 
									 Email: info@nsjbio.com Email: info@nsjbio.com
- Tel: 858.663.9055
- Email: info@nsjbio.com
 Email: info@nsjbio.com
Email: info@nsjbio.com
								Related Products
| 
 | 
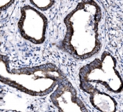
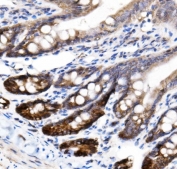
Solute carrier family 12 (sodium/potassium/chloride transporters), member 2, also known as NKCC1, is widely distributed throughout the body, especially in organs that secrete fluids, called exocrine glands. By fluorescence in situ hybridization, this gene is mapped to chromosome 5q23.3. The protein encoded by this gene mediates sodium and chloride transport and reabsorption. The encoded protein is a membrane protein and is important in maintaining proper ionic balance and cell volume. This protein is phosphorylated in response to DNA damage. Three transcript variants encoding two different isoforms have been found for this gene.
Optimal dilution of the SLC12A2 antibody should be determined by the researcher.
Recombinant human protein (amino acids K889-K943) was used as the immunogen for the SLC12A2 antibody.
After reconstitution, the SLC12A2 antibody can be stored for up to one month at 4oC. For long-term, aliquot and store at -20oC. Avoid repeated freezing and thawing.
 
Your bulk quote request has been submitted successfully!
Please contact us if you have any questions.