• Tel: 858.663.9055
  • SeparatorEmail: info@nsjbio.com
  • Tel: 858.663.9055
  • Email: info@nsjbio.com
Home >> Antibodies >> SLC10A2 Antibody

SLC10A2 Antibody (R36375)

  Catalog No Formulation Size Price (USD)  
Image R36375-100UG 0.5 mg/ml in 1X TBS, pH7.3, with 0.5% BSA (US sourced) and 0.02% sodium azide 100 ug 475
Bulk quote request
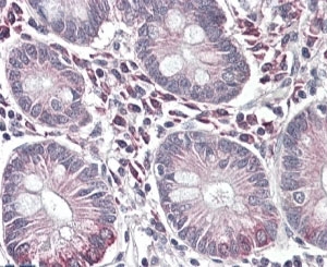
IHC testing of FFPE human small intestine with SLC10A2 antibody at 4ug/ml. HIER: steamed with pH6 citrate buffer, AP-staining. Staining of cells in the laminia propria between the intestinal vili is seen.
Availability 1-3 business days
Species Reactivity Human
Format Antigen affinity purified
Host Goat
Clonality Polyclonal (goat origin)
Isotype Goat Ig
Purity Antigen affinity
Gene ID 6555
Applications Immunohistochemistry (FFPE) : 3-6ug/ml
ELISA (peptide) LOD : 1:16000
Limitations This SLC10A2 antibody is available for research use only.
Review this product on BioCompare and get a $20 Amazon gift card

Related Products

  • Applications : WB, ELISA (peptide)
    Reactivity : Mouse

Description

Additional name(s) for this target protein: Solute carrier family 10 (sodium/bile acid cotransporter family), member 2; ASBT

Application Notes

Optimal dilution of the SLC10A2 antibody should be determined by the researcher.

Immunogen

Amino acids YKANGGFQPDEK were used as the immunogen for this SLC10A2 antibody.

Storage

Aliquot and store the SLC10A2 antibody at -20oC.

Cross
Bulk Quote Request Form
Name*:
Organization*:
Email*:
Phone Number*:
Catalog No.*:
Comments and Specifics(amount, formulation, etc.)*:
Validation code: Captchapackage Image


Can't read the image? click here to refresh.
    *required field

Your bulk quote request has been submitted successfully!

Please contact us if you have any questions.