• Tel: 858.663.9055
  • SeparatorEmail: info@nsjbio.com
  • Tel: 858.663.9055
  • Email: info@nsjbio.com
Home >> Antibodies >> SLAMF1 Antibody / SMAM / CD150

SLAMF1 Antibody / SMAM / CD150 (RQ6903)

  Catalog No Formulation Size Price (USD)  
Image RQ6903 0.5mg/ml if reconstituted with 0.2ml sterile DI water 100 ug 439
Bulk quote request
Flow cytometry testing of human U937 cells with SLAMF1 antibody at 1ug/million cells (blocked with goat sera); Red=cells alone, Green=isotype control, Blue= SLAMF1 antibody.
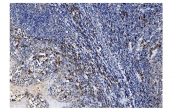
IHC staining of FFPE human tonsil tissue with SLAMF1 antibody. HIER: boil tissue sections in pH8 EDTA for 20 min and allow to cool before testing.
Availability 1-3 business days
Species Reactivity Human
Format Antigen affinity purified
Clonality Polyclonal (rabbit origin)
Isotype Rabbit IgG
Purity Antigen affinity purified
Buffer Lyophilized from 1X PBS with 2% Trehalose
UniProt Q13291
Applications Immunohistochemistry (FFPE) : 2-5ug/ml
Flow Cytometry : 1-3ug/million cells
Direct ELISA : 0.1-0.5ug/ml
Limitations This SLAMF1 antibody is available for research use only.
Review this product on BioCompare and get a $20 Amazon gift card

Related Products

  • Applications : IHC-P
    Reactivity : Human
  • Applications : WB (transfected), ELISA (peptide)
    Reactivity : Human
  • Applications : WB, ELISA (peptide)
    Reactivity : Human
    Pred. Reactivity : Cow, Mouse, Rat
  • Applications : WB, FACS, ELISA
    Reactivity : Human

Description

Signaling lymphocytic activation molecule 1 is a protein that in humans is encoded by the SLAMF1 gene. SLAMF1 Antibody: The signaling lymphocyte-activation molecule family member 1 (SLAMF1) is a novel receptor on T cells that potentiates T cell expansion in a CD28-independent manner. SLAMF1 is predominantly expressed by hematopoietic tissues. Reports suggest that the extracellular domain of SLAMF1 is the receptor for the measles virus and acts as a co-activator on both T and B cells. It is thought to interact with SH2D1A and with PTPN11 via its cytoplasmic domain. Mutations of the SLAM associated gene may be associated with X-linked lympho-proliferative disease (XLP).

Application Notes

Optimal dilution of the SLAMF1 antibody should be determined by the researcher.

Immunogen

Recombinant human protein (amino acids K34-N213) was used as the immunogen for the SLAMF1 antibody.

Storage

After reconstitution, the SLAMF1 antibody can be stored for up to one month at 4oC. For long-term, aliquot and store at -20oC. Avoid repeated freezing and thawing.

Cross
Bulk Quote Request Form
Name*:
Organization*:
Email*:
Phone Number*:
Catalog No.*:
Comments and Specifics(amount, formulation, etc.)*:
Validation code: Captchapackage Image


Can't read the image? click here to refresh.
    *required field

Your bulk quote request has been submitted successfully!

Please contact us if you have any questions.