• Tel: 858.663.9055
  • SeparatorEmail: info@nsjbio.com
  • Tel: 858.663.9055
  • Email: info@nsjbio.com
Home >> Antibodies >> SIRT3 Antibody

SIRT3 Antibody (F49519)

  Catalog No Formulation Size Price (USD)  
Image F49519-0.4ML In 1X PBS, pH 7.4, with 0.09% sodium azide 0.4 ml 439
Image
F49519-0.08ML In 1X PBS, pH 7.4, with 0.09% sodium azide 0.08 ml 205
Bulk quote request
Western blot analysis of lysate from (1) 293 and (2) HepG2 cell line using SIRT3 antibody at 1:1000. Predicted size: 44/28 kDa (full/processed)
SIRT3 antibody western blot analysis in 293 cell lysate. Predicted size: 44/28 kDa (full/processed)
SIRT3 antibody western blot analysis in HepG2 lysate. Predicted size: 44/28 kDa (full/processed)
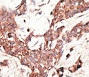
IHC analysis of FFPE human breast carcinoma tissue stained with the SIRT3 antibody
Availability 1-3 business days
Species Reactivity Human, Mouse
Format Antigen affinity purified
Host Rabbit
Clonality Polyclonal (rabbit origin)
Isotype Rabbit Ig
Purity Antigen affinity
UniProt Q9NTG7
Applications Western Blot : 1:1000
IHC (Paraffin) : 1:50-1:100
Limitations This SIRT3 antibody is available for research use only.
Review this product on BioCompare and get a $20 Amazon gift card

Related Products

  • Applications : ELISA, FACS, IF, WB
    Reactivity : Human
    Microvalidated
  • Applications : WB, ELISA
    Reactivity : Human
  • Applications : WB, ELISA (peptide)
    Reactivity : Human
  • Applications : WB, ELISA (peptide)
    Reactivity : Human, Mouse
    Pred. Reactivity : Pig, Rat
  • Applications : WB, IHC, ELISA
    Reactivity : Human, Mouse, Hamster
  • Applications : WB, IF, ELISA
    Reactivity : Human, Mouse, Rat
  • Applications : WB, ELISA
    Reactivity : Human, Mouse, Rat

Description

SIRT3 is a member of the sirtuin family of proteins, homologs to the yeast Sir2 protein. Members of the sirtuin family are characterized by a sirtuin core domain and grouped into four classes. The functions of human sirtuins have not yet been determined; however, yeast sirtuin proteins are known to regulate epigenetic gene silencing and suppress recombination of rDNA. Studies suggest that the human sirtuins may function as intracellular regulatory proteins with mono-ADP-ribosyltransferase activity. The SIRT3 is included in class I of the sirtuin family.

Application Notes

Titration of the SIRT3 antibody may be required due to differences in protocols and secondary/substrate sensitivity.

Immunogen

A portion of amino acids 250-279 from the human protein was used as the immunogen for this SIRT3 antibody.

Storage

Aliquot the SIRT3 antibody and store frozen at -20oC or colder. Avoid repeated freeze-thaw cycles.

Cross
Bulk Quote Request Form
Name*:
Organization*:
Email*:
Phone Number*:
Catalog No.*:
Comments and Specifics(amount, formulation, etc.)*:
Validation code: Captchapackage Image


Can't read the image? click here to refresh.
    *required field

Your bulk quote request has been submitted successfully!

Please contact us if you have any questions.