• Tel: 858.663.9055
  • SeparatorEmail: info@nsjbio.com
  • Tel: 858.663.9055
  • Email: info@nsjbio.com
Home >> Antibodies >> SH2D3A Antibody

SH2D3A Antibody (R33156)

  Catalog No Formulation Size Price (USD)  
Image R33156-100UG 0.5 mg/ml in 1X TBS, pH7.3, with 0.5% BSA (US sourced) and 0.02% sodium azide 100 ug 475
Bulk quote request
Western blot testing of human tonsil lysate with SH2D3A antibody at 0.1ug/ml. Predicted molecular weight: ~63 kDa.
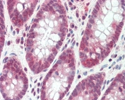
IHC testing of FFPE human colon tissue with SH2D3A antibody at 5ug/ml. Required HIER: steamed antigen retrieval with pH6 citrate buffer; AP-staining.
Availability 1-3 business days
Species Reactivity Human
Format Antigen affinity purified
Host Goat
Clonality Polyclonal (goat origin)
Isotype Goat Ig
Purity Antigen affinity
Gene ID 10045
Applications Western Blot : 0.1-0.3ug/ml
IHC (FFPE) : 5ug/ml
ELISA (peptide) LOD : 1:16000
Limitations This SH2D3A antibody is available for research use only.
Review this product on BioCompare and get a $20 Amazon gift card

Description

Additional name(s) for this target protein: SH2 domain containing 3A

Application Notes

Optimal dilution of the SH2D3A antibody should be determined by the researcher.

Immunogen

Amino acids APRAERFEKFQR were used as the immunogen for this SH2D3A antibody.

Storage

Aliquot and store the SH2D3A antibody at -20oC.

Cross
Bulk Quote Request Form
Name*:
Organization*:
Email*:
Phone Number*:
Catalog No.*:
Comments and Specifics(amount, formulation, etc.)*:
Validation code: Captchapackage Image


Can't read the image? click here to refresh.
    *required field

Your bulk quote request has been submitted successfully!

Please contact us if you have any questions.