• Tel: 858.663.9055
  • SeparatorEmail: info@nsjbio.com
  • Tel: 858.663.9055
  • Email: info@nsjbio.com
Home >> Antibodies >> SERBP1 Antibody / PAI-RBP1

SERBP1 Antibody / PAI-RBP1 [clone SERBP1/3494] (V8445)

  Catalog No Formulation Size Price (USD)  
Image V8445-100UG 0.2 mg/ml in 1X PBS with 0.1 mg/ml BSA (US sourced) and 0.05% sodium azide 100 ug 559
Image
V8445-20UG 0.2 mg/ml in 1X PBS with 0.1 mg/ml BSA (US sourced) and 0.05% sodium azide 20 ug 259
Image
V8445SAF-100UG 1 mg/ml in 1X PBS; BSA free, sodium azide free 100 ug 559
Microvalidated
Bulk quote request
Western blot testing of human 1) K562 and 2) PC-3 cell lysate with SERBP1 antibody. Predicted molecular weight ~45 kDa but observed at 45-60 kDa.
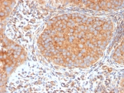
IHC staining of FFPE human urothelial carcinoma with SERBP1 antibody. HIER: boil tissue sections in pH 9 10mM Tris with 1mM EDTA for 20 min and allow to cool before testing.
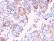
SERBP1 Antibody Human Kidney Tissue IHC. Immunohistochemistry staining of FFPE human kidney with SERBP1 antibody. HIER: boil tissue sections in pH 9 10mM Tris with 1mM EDTA for 20 min and allow to cool before testing.
Analysis of HuProt(TM) microarray containing more than 19,000 full-length human proteins using SERBP1 antibody. These results demonstrate the foremost specificity of the SERBP1/3494 mAb. Z- and S- score: The Z-score represents the strength of a signal that an antibody (in combination with a fluorescently-tagged anti-IgG secondary Ab) produces when binding to a particular protein on the HuProt(TM) array. Z-scores are described in units of standard deviations (SD's) above the mean value of all signals generated on that array. If the targets on the HuProt(TM) are arranged in descending order of the Z-score, the S-score is the difference (also in units of SD's) between the Z-scores. The S-score therefore represents the relative target specificity of an Ab to its intended target.
Availability 1-3 business days
Species Reactivity Human
Format Purified
Host Mouse
Clonality Monoclonal (mouse origin)
Isotype Mouse IgG2b, kappa
Clone Name SERBP1/3494
Purity Protein G affinity chromatography
UniProt Q8NC51
Localization Cytoplasm, nucleus, perinuclear regions
Applications Western Blot : 1-2ug/ml
Immunohistochemistry (FFPE) : 1-2ug/ml for 30 minutes at RT
Limitations This SERBP1 antibody is available for research use only.
Review this product on BioCompare and get a $20 Amazon gift card

Related Products

Description

SERBP1 is a membrane-associated protein that localizes to the nucleus, the perinuclear region of the cytoplasm and the plasma membrane. It is believed to play a role in the regulation of mRNA stability, as it specifically binds to the CRS (cyclic nucleotide-responsive sequence) motif of the PAI-1 mRNA and acts to stabilize the mRNA and regulate its expression. In addition, SERBP1 interacts with Mi2-s antiapoptotic action in ovarian cell types. SERBP1 is overexpressed in ovarian cancer, suggesting a possible role in tumorigenesis and tumor metastasis.

For highly specific detection of SERBP1-associated RNA regulatory signaling pathways, see our SERBP1 Antibody / mRNA Binding Protein Antibody page featuring clone SERBP1/3491 with WB, IHC, and HuProt(TM) microarray specificity validation data.

Application Notes

Optimal dilution of the SERBP1 antibody should be determined by the researcher.

Immunogen

A portion of amino acids 3-139 from the human protein was used as the immunogen for the SERBP1 antibody.

Storage

Store the SERBP1 antibody at 2-8oC (with azide) or aliquot and store at -20oC or colder (without azide).

Cross
Bulk Quote Request Form
Name*:
Organization*:
Email*:
Phone Number*:
Catalog No.*:
Comments and Specifics(amount, formulation, etc.)*:
Validation code: Captchapackage Image


Can't read the image? click here to refresh.
    *required field

Your bulk quote request has been submitted successfully!

Please contact us if you have any questions.