• Tel: 858.663.9055
  • SeparatorEmail: info@nsjbio.com
  • Tel: 858.663.9055
  • Email: info@nsjbio.com
Home >> Antibodies >> SDHB Antibody

SDHB Antibody (RQ4182)

  Catalog No Formulation Size Price (USD)  
Image RQ4182 0.5mg/ml if reconstituted with 0.2ml sterile DI water 100 ug 449
Bulk quote request
Western blot testing of 1) human MCF7, 2) A549, 3) SGC-7901, 4) rat brain, 5) rat heart, 6) mouse brain and 7) mouse heart lysate with SDHB antibody at 0.5ug/ml. Predicted molecular weight ~32 kDa.
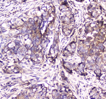
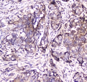
IHC testing of FFPE human breast cancer tissue with SDHB antibody at 1ug/ml. Required HIER: steam section in pH6 citrate buffer for 20 min and allow to cool prior to staining.
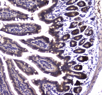
IHC testing of FFPE mouse small intestine tissue with SDHB antibody at 1ug/ml. Required HIER: steam section in pH6 citrate buffer for 20 min and allow to cool prior to staining.
IHC testing of FFPE rat small intestine tissue with SDHB antibody at 1ug/ml. Required HIER: steam section in pH6 citrate buffer for 20 min and allow to cool prior to staining.
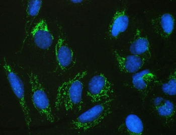
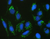
IF/ICC staining of FFPE human U-2 OS cells with SDHB antibody (green) at 2ug/ml and DAPI nuclear stain (blue). HIER: steam section in pH6 citrate buffer for 20 min.
Availability 1-3 business days
Species Reactivity Human, Mouse, Rat
Format Antigen affinity purified
Host Rabbit
Clonality Polyclonal (rabbit origin)
Isotype Rabbit IgG
Purity Antigen affinity purified
Buffer Lyophilized from 1X PBS with 2% Trehalose and 0.025% sodium azide
UniProt P21912
Localization Cytoplasmic (mitochondrial)
Applications Western Blot : 0.5-1ug/ml
IHC (FFPE) : 1-2ug/ml
Immunofluorescence/Immunocytochemistry : 2-4ug/ml
Direct ELISA : 0.1-0.5ug/ml
Limitations This SDHB antibody is available for research use only.
Review this product on BioCompare and get a $20 Amazon gift card

Related Products

Description

SDHB (Succinate Dehydrogenase Complex, Subunit B, iron sulfur protein), also known as iron-sulfur subunit of complex II (Ip) or SDH2, HOMOLOG OF, is a protein that in humans is encoded by the SDHB gene. SDHB is one of four protein subunits forming succinate dehydrogenase, the other three being SDHA, SDHC and SDHD. The SDHB subunit is connected to the SDHA subunit on the hydrophilic, catalytic end of the SDH complex. The SDHB gene is mapped on 1p36.13. It is stated that the nuclear-encoded Krebs cycle enzymes fumarate hydratase and succinate dehydrogenases like SDHB act as tumor suppressors, and germline mutations in these genes predispose individuals to leiomyomas and renal cancer and to paragangliomas, respectively. In affected members of families with paragangliomas-4, mutations were identified in the SDHB gene.

Application Notes

Optimal dilution of the SDHB antibody should be determined by the researcher.

Immunogen

A recombinant human protein corresponding to amino acids A29-V280 was used as the immunogen for the SDHB antibody.

Storage

After reconstitution, the SDHB antibody can be stored for up to one month at 4oC. For long-term, aliquot and store at -20oC. Avoid repeated freezing and thawing.

Cross
Bulk Quote Request Form
Name*:
Organization*:
Email*:
Phone Number*:
Catalog No.*:
Comments and Specifics(amount, formulation, etc.)*:
Validation code: Captchapackage Image


Can't read the image? click here to refresh.
    *required field

Your bulk quote request has been submitted successfully!

Please contact us if you have any questions.