• Tel: 858.663.9055
  • SeparatorEmail: info@nsjbio.com
  • Tel: 858.663.9055
  • Email: info@nsjbio.com
Home >> Antibodies >> SDHB Antibody

SDHB Antibody (R33193)

  Catalog No Formulation Size Price (USD)  
Image R33193-100UG 0.5 mg/ml in 1X TBS, pH7.3, with 0.5% BSA (US sourced) and 0.02% sodium azide 100 ug 475
Bulk quote request
Western blot testing of human liver lysate with SDHB antibody at 0.03ug/ml. Predicted/observed molecular weight ~32/28 kDa.
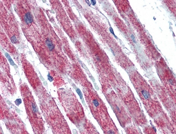
IHC testing of FFPE human heart tissue with SDHB antibody at 5ug/ml. Required HIER: steamed antigen retrieval with pH6 citrate buffer; AP-staining.
Availability 1-3 business days
Species Reactivity Human
Format Antigen affinity purified
Host Goat
Clonality Polyclonal (goat origin)
Isotype Goat Ig
Purity Antigen affinity
Gene ID 6390
Localization Cytoplasmic
Applications Western Blot : 0.03-0.1ug/ml
IHC (FFPE) : 5ug/ml
ELISA (peptide) LOD : 1:8000
Limitations This SDHB antibody is available for research use only.
Review this product on BioCompare and get a $20 Amazon gift card

Related Products

Description

Additional name(s) for this target protein: Succinate dehydrogenase complex, subunit B

Application Notes

Optimal dilution of the SDHB antibody should be determined by the researcher.

Immunogen

Amino acids ATYKEKKASV were used as the immunogen for this SDHB antibody.

Storage

Aliquot and store the SDHB antibody at -20oC.

Cross
Bulk Quote Request Form
Name*:
Organization*:
Email*:
Phone Number*:
Catalog No.*:
Comments and Specifics(amount, formulation, etc.)*:
Validation code: Captchapackage Image


Can't read the image? click here to refresh.
    *required field

Your bulk quote request has been submitted successfully!

Please contact us if you have any questions.