• Tel: 858.663.9055
  • SeparatorEmail: info@nsjbio.com
  • Tel: 858.663.9055
  • Email: info@nsjbio.com
Home >> Antibodies >> SDF4 Antibody

SDF4 Antibody (R34049)

  Catalog No Formulation Size Price (USD)  
Image R34049-100UG 0.5 mg/ml in 1X TBS, pH7.3, with 0.5% BSA (US sourced) and 0.02% sodium azide 100 ug 475
Bulk quote request
Western blot testing of Jurkat lysate with SDF4 antibody at 0.1ug/ml. Predicted molecular weight: ~42kDa.
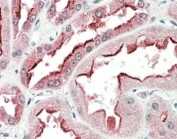
IHC staining of FFPE human kidney with SDF4 antibody at 5ug/ml. HIER: steamed with pH6 citrate buffer, AP-staining.
Availability 1-3 business days
Species Reactivity Human
Predicted Reactivity Cow, Dog, Mouse, Rat
Format Antigen affinity purified
Host Goat
Clonality Polyclonal (goat origin)
Isotype Goat Ig
Purity Antigen affinity
Gene ID 51150
Applications Western Blot : 0.1-0.3ug/ml
Immunohistochemistry (FFPE) : 5-10ug/ml
ELISA (peptide) LOD : 1:64000
Limitations This SDF4 antibody is available for research use only.
Review this product on BioCompare and get a $20 Amazon gift card

Description

Additional name(s) for this target protein: Stromal cell derived factor 4

Application Notes

Optimal dilution of the SDF4 antibody should be determined by the researcher.

Immunogen

Amino acids EYKVKFLASKGHSEK were used as the immunogen for this SDF4 antibody.

Storage

Aliquot and store the SDF4 antibody at -20oC.

Cross
Bulk Quote Request Form
Name*:
Organization*:
Email*:
Phone Number*:
Catalog No.*:
Comments and Specifics(amount, formulation, etc.)*:
Validation code: Captchapackage Image


Can't read the image? click here to refresh.
    *required field

Your bulk quote request has been submitted successfully!

Please contact us if you have any questions.