• Tel: 858.663.9055
  • SeparatorEmail: info@nsjbio.com
  • Tel: 858.663.9055
  • Email: info@nsjbio.com
Home >> Antibodies >> SDF2-like protein 1 Antibody / SDF2L1

SDF2-like protein 1 Antibody / SDF2L1 (F54671)

  Catalog No Formulation Size Price (USD)  
Image F54671-0.4ML In 1X PBS, pH 7.4, with 0.09% sodium azide 0.4 ml 439
Image
F54671-0.08ML In 1X PBS, pH 7.4, with 0.09% sodium azide 0.08 ml 205
Bulk quote request
Western blot testing of mouse Neuro-2a cell lysate with SDF2-like protein 1 antibody. Predicted molecular weight ~24 kDa.
Western blot testing of human SK-BR-3 cell lysate with SDF2-like protein 1 antibody. Predicted molecular weight ~24 kDa.
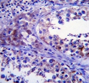
IHC testing of FFPE human testis tissue with SDF2-like protein 1 antibody. HIER: steam section in pH6 citrate buffer for 20 min and allow to cool prior to staining.
Flow cytometry testing of mouse Neuro-2a cells with SDF2-like protein 1 antibody; Left=isotype control, Right= SDF2-like protein 1 antibody.
Availability 1-3 business days
Species Reactivity Human, Mouse
Format Purified
Host Rabbit
Clonality Polyclonal (rabbit origin)
Isotype Rabbit Ig
Purity Antigen affinity purified
UniProt Q9HCN8
Applications Flow Cytometry : 1:25 (1x10e6 cells)
Western Blot : 1:500-1:2000
Immunohistochemistry (FFPE) : 1:25
Limitations This SDF2-like protein 1 antibody is available for research use only.
Review this product on BioCompare and get a $20 Amazon gift card

Related Products

Application Notes

The stated application concentrations are suggested starting points. Titration of the SDF2-like protein 1 antibody may be required due to differences in protocols and secondary/substrate sensitivity.

Immunogen

A portion of amino acids 160-189 from the human protein was used as the immunogen for the SDF2-like protein 1 antibody.

Storage

Aliquot the SDF2-like protein 1 antibody and store frozen at -20oC or colder. Avoid repeated freeze-thaw cycles.

Cross
Bulk Quote Request Form
Name*:
Organization*:
Email*:
Phone Number*:
Catalog No.*:
Comments and Specifics(amount, formulation, etc.)*:
Validation code: Captchapackage Image


Can't read the image? click here to refresh.
    *required field

Your bulk quote request has been submitted successfully!

Please contact us if you have any questions.