• Tel: 858.663.9055
  • SeparatorEmail: info@nsjbio.com
  • Tel: 858.663.9055
  • Email: info@nsjbio.com
Home >> Antibodies >> SCARF1 Antibody

SCARF1 Antibody (R35880)

  Catalog No Formulation Size Price (USD)  
Image R35880-100UG 0.5 mg/ml in 1X TBS, pH7.3, with 0.5% BSA (US sourced) and 0.02% sodium azide 100 ug 475
Bulk quote request
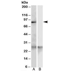
Western blot testing of human heart lysate with SCARF1 antibody at 0.3ug/ml with [B] and without [A] blocking/immunizing peptide. Predicted/observed molecular weight: 87kDa.
Availability 1-3 business days
Species Reactivity Human
Format Antigen affinity purified
Host Goat
Clonality Polyclonal (goat origin)
Isotype Goat Ig
Purity Antigen affinity
Gene ID 8578
Applications Western Blot : 0.3-1.0ug/ml
ICC/IF : suitable
ELISA (peptide) LOD : 1:64000
Limitations This SCARF1 antibody is available for research use only.
Review this product on BioCompare and get a $20 Amazon gift card

Description

Additional name(s) for this target protein: Scavenger receptor class F, member 1; scavenger receptor expressed by endothelial cells (SREC)

Application Notes

Optimal dilution of the SCARF1 antibody should be determined by the researcher.

Immunogen

Amino acids SELDPKGQHVC were used as the immunogen for this SCARF1 antibody.

Storage

Aliquot and store the SCARF1 antibody at -20oC.

Cross
Bulk Quote Request Form
Name*:
Organization*:
Email*:
Phone Number*:
Catalog No.*:
Comments and Specifics(amount, formulation, etc.)*:
Validation code: Captchapackage Image


Can't read the image? click here to refresh.
    *required field

Your bulk quote request has been submitted successfully!

Please contact us if you have any questions.