• Tel: 858.663.9055
  • SeparatorEmail: info@nsjbio.com
  • Tel: 858.663.9055
  • Email: info@nsjbio.com
Home >> Antibodies >> SCAP Antibody / SREBP cleavage-activating protein

SCAP Antibody / SREBP cleavage-activating protein (F54258)

  Catalog No Formulation Size Price (USD)  
Image F54258-0.4ML In 1X PBS, pH 7.4, with 0.09% sodium azide 0.4 ml 439
Image
F54258-0.08ML In 1X PBS, pH 7.4, with 0.09% sodium azide 0.08 ml 205
Bulk quote request
Western blot testing of human 1) HeLa, 2) HT-29, 3) K562, 4) LNCaP, 5) mouse brain, 6) mouse liver and 7) rat heart lysate with SCAP antibody. Predicted molecular weight: ~96, 98, 140 kDa (3 isoforms).
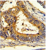
IHC testing of FFPE human colon carcinoma tissue with SCAP antibody. HIER: steam section in pH6 citrate buffer for 20 min and allow to cool prior to staining.
Immunofluorescent staining of fixed and permeabilized human HeLa cells with SCAP antibody (green), DAPI nuclear stain (blue) and anti-Actin (red).
Flow cytometry testing of fixed and permeabilized human K562 cells with SCAP antibody; Blue=isotype control, Green= SCAP antibody.
Availability 1-3 business days
Species Reactivity Human, Mouse, Rat
Format Purified
Host Rabbit
Clonality Polyclonal (rabbit origin)
Isotype Rabbit Ig
Purity Antigen affinity purified
UniProt Q12770
Gene ID 22937
Localization Cytoplasmic
Applications Western Blot : 1:1000-1:2000
Immunohistochemistry (FFPE) : 1:50-1:100
Flow Cytometry : 1:25 (1x10e6 cells)
Immunofluorescence : 1:50-1:100
Limitations This SCAP antibody is available for research use only.
Review this product on BioCompare and get a $20 Amazon gift card

Related Products

Description

SCAP is a protein with a sterol sensing domain (SSD) and seven WD domains. In the presence of cholesterol, this protein binds to sterol regulatory element binding proteins (SREBPs) and mediates their transport from the ER to the Golgi. The SREBPs are then proteolytically cleaved and regulate sterol biosynthesis.

Application Notes

The stated application concentrations are suggested starting points. Titration of the SCAP antibody may be required due to differences in protocols and secondary/substrate sensitivity.

Immunogen

A portion of amino acids 604-632 from the human protein were used as the immunogen for the SCAP antibody.

Storage

Aliquot the SCAP antibody and store frozen at -20oC or colder. Avoid repeated freeze-thaw cycles.

Cross
Bulk Quote Request Form
Name*:
Organization*:
Email*:
Phone Number*:
Catalog No.*:
Comments and Specifics(amount, formulation, etc.)*:
Validation code: Captchapackage Image


Can't read the image? click here to refresh.
    *required field

Your bulk quote request has been submitted successfully!

Please contact us if you have any questions.