• Tel: 858.663.9055
  • SeparatorEmail: info@nsjbio.com
  • Tel: 858.663.9055
  • Email: info@nsjbio.com
Home >> Antibodies >> SAT1 Antibody

SAT1 Antibody (R35477)

  Catalog No Formulation Size Price (USD)  
Image R35477-100UG 0.5 mg/ml in 1X TBS, pH7.3, with 0.5% BSA (US sourced) and 0.02% sodium azide 100 ug 475
Bulk quote request
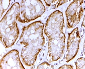
IHC testing testing of FFPE human kidney with SAT1 antibody at 2ug/ml. HIER: steamed with pH6 citrate buffer, HRP-staining.
Availability 1-3 business days
Species Reactivity Human
Format Antigen affinity purified
Host Goat
Clonality Polyclonal (goat origin)
Isotype Goat Ig
Purity Antigen affinity
Gene ID 10861
Applications Immunohistochemistry (FFPE) : 2-4ug/ml
ELISA (peptide) LOD : 1:4000
Limitations This SAT1 antibody is available for research use only.
Review this product on BioCompare and get a $20 Amazon gift card

Related Products

Description

Additional name(s) for this target protein: Sulfate anion transporter 1; Solute carrier family 26 (sulfate transporter), member 1; SLC26A1

Application Notes

Optimal dilution of the SAT1 antibody should be determined by the researcher.

1. This SAT1 antibody is specific for isoform a.

Immunogen

Amino acids QTARARHRELEATD were used as the immunogen for this SAT1 antibody.

Storage

Aliquot and store the SAT1 antibody at -20oC.

Cross
Bulk Quote Request Form
Name*:
Organization*:
Email*:
Phone Number*:
Catalog No.*:
Comments and Specifics(amount, formulation, etc.)*:
Validation code: Captchapackage Image


Can't read the image? click here to refresh.
    *required field

Your bulk quote request has been submitted successfully!

Please contact us if you have any questions.