• Tel: 858.663.9055
  • SeparatorEmail: info@nsjbio.com
  • Tel: 858.663.9055
  • Email: info@nsjbio.com
Home >> Antibodies >> S100A6 Antibody

S100A6 Antibody [clone 3E11-E9-D8] (F54058)

  Catalog No Formulation Size Price (USD)  
Image F54058-0.1ML In PBS with 50% glycerol and 0.03% ProClin 300 0.1 ml 439
Bulk quote request
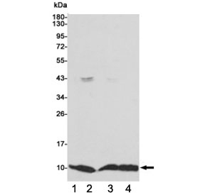
Western blot testing of 1) monkey COS7, 2) human MCF7, 3) human HCT116 and 4) human A549 cell lysates using S100A6 antibody 1:1000. Predicted molecular weight ~10 kDa.
Availability 1-3 business days
Species Reactivity Human, Monkey
Format Purified
Host Mouse
Clonality Monoclonal (mouse origin)
Isotype Mouse lgG1
Clone Name 3E11-E9-D8
Purity Protein G affinity
UniProt P06703
Applications Western Blot : 1:1000
Limitations This S100A6 antibody is available for research use only.
Review this product on BioCompare and get a $20 Amazon gift card

Related Products

  • Applications : WB
    Reactivity : Human
    Rab Mono Image
  • Applications : WB, FACS, ELISA
    Reactivity : Human, Mouse
  • Applications : WB, IHC-P, IF, FACS
    Reactivity : Human, Mouse, Rat

Description

May function as calcium sensor and modulator, contributing to cellular calcium signaling. May function by interacting with other proteins, such as TPR-containing proteins, and indirectly play a role in many physiological processes such as the reorganization of the actin cytoskeleton and in cell motility. [UniProt]

Application Notes

The stated application concentrations are suggested starting points. Titration of the S100A6 antibody may be required due to differences in protocols and secondary/substrate sensitivity.

Immunogen

A human recombinant protein was used as the immunogen for this S100A6 antibody.

Storage

Store the S100A6 antibody at -20oC.

Cross
Bulk Quote Request Form
Name*:
Organization*:
Email*:
Phone Number*:
Catalog No.*:
Comments and Specifics(amount, formulation, etc.)*:
Validation code: Captchapackage Image


Can't read the image? click here to refresh.
    *required field

Your bulk quote request has been submitted successfully!

Please contact us if you have any questions.