• Tel: 858.663.9055
  • SeparatorEmail: info@nsjbio.com
  • Tel: 858.663.9055
  • Email: info@nsjbio.com
Home >> Antibodies >> RYK Antibody

RYK Antibody (F54254)

  Catalog No Formulation Size Price (USD)  
Image F54254-0.4ML In 1X PBS, pH 7.4, with 0.09% sodium azide 0.4 ml 439
Image
F54254-0.08ML In 1X PBS, pH 7.4, with 0.09% sodium azide 0.08 ml 205
Bulk quote request
Western blot testing of human ovary lysate with RYK antibody. Predicted molecular weight ~68 kDa.
Western blot testing of mouse 1) lung and 2) ovary lysate with RYK antibody. Predicted molecular weight ~68 kDa.
Western blot testing of mouse NIH 3T3 cell lysate with RYK antibody. Predicted molecular weight ~68 kDa.
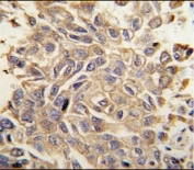
IHC testing of FFPE human lung carcinoma with RYK antibody. HIER: steam section in pH6 citrate buffer for 20 min and allow to cool prior to staining.
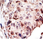
IHC testing of FFPE human breast cancer with RYK antibody. HIER: steam section in pH6 citrate buffer for 20 min and allow to cool prior to staining.
Availability 1-3 business days
Species Reactivity Human, Mouse
Format Purified
Host Rabbit
Clonality Polyclonal (rabbit origin)
Isotype Rabbit Ig
Purity Antigen affinity purified
UniProt P34925
Gene ID 6259
Applications Western Blot : 1:1000
Immunohistochemistry (FFPE) : 1:50-1:100
Limitations This RYK antibody is available for research use only.
Review this product on BioCompare and get a $20 Amazon gift card

Related Products

Description

RYK is an atypical member of the family of growth factor receptor protein tyrosine kinases, differing from other members at a number of conserved residues in the activation and nucleotide binding domains. This gene product belongs to a subfamily whose members do not appear to be regulated by phosphorylation in the activation segment. It has been suggested that mediation of biological activity by recruitment of a signaling-competent auxiliary protein may occur through an as yet uncharacterized mechanism. A nine nucleotide insertion in some transcripts results in the SLG variant. It is not established whether this is a product of alternative splicing or a second gene, since evidence for a second gene or pseudogene on chromosome 17 exists.

Application Notes

The stated application concentrations are suggested starting points. Titration of the RYK antibody may be required due to differences in protocols and secondary/substrate sensitivity.

Immunogen

A portion of amino acids 160-190 from the human protein were used as the immunogen for the RYK antibody.

Storage

Aliquot the RYK antibody and store frozen at -20oC or colder. Avoid repeated freeze-thaw cycles.

Cross
Bulk Quote Request Form
Name*:
Organization*:
Email*:
Phone Number*:
Catalog No.*:
Comments and Specifics(amount, formulation, etc.)*:
Validation code: Captchapackage Image


Can't read the image? click here to refresh.
    *required field

Your bulk quote request has been submitted successfully!

Please contact us if you have any questions.