• Tel: 858.663.9055
  • SeparatorEmail: info@nsjbio.com
  • Tel: 858.663.9055
  • Email: info@nsjbio.com
Home >> Antibodies >> RPL13A Antibody

RPL13A Antibody (RQ5609)

  Catalog No Formulation Size Price (USD)  
Image RQ5609 0.5mg/ml if reconstituted with 0.2ml sterile DI water 100 ug 449
Bulk quote request
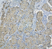
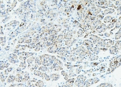
IHC staining of FFPE human rectal cancer with RPL13A antibody. HIER: boil tissue sections in pH6, 10mM citrate buffer, for 20 min and allow to cool before testing.
IHC staining of FFPE human breast cancer with RPL13A antibody. HIER: boil tissue sections in pH6, 10mM citrate buffer, for 20 min and allow to cool before testing.
IHC staining of FFPE human pancreatic cancer with RPL13A antibody. HIER: boil tissue sections in pH6, 10mM citrate buffer, for 20 min and allow to cool before testing.
Western blot testing of human 1) placenta, 2) HEK293, 3) A549, 4) HepG2 and 5) K562 lysate with RPL13A antibody. Predicted molecular weight ~23 kDa.
Availability 1-3 business days
Species Reactivity Human
Format Antigen affinity purified
Host Rabbit
Clonality Polyclonal (rabbit origin)
Isotype Rabbit IgG
Purity Affinity purified
Buffer Lyophilized from 1X PBS with 2% Trehalose and 0.025% sodium azide
UniProt P40429
Applications Western Blot : 0.25-0.5ug/ml
Immunohistochemistry (FFPE) : 1-2ug/ml
Direct ELISA : 0.1-0.5ug/ml
Limitations This RPL13A antibody is available for research use only.
Review this product on BioCompare and get a $20 Amazon gift card

Related Products

Description

60S ribosomal protein L13a is a protein that in humans is encoded by the RPL13A gene. It is mapped to 19q13.33. Ribosomes, the organelles that catalyze protein synthesis, consist of a small 40S subunit and a large 60S subunit. Together these subunits are composed of 4 RNA species and approximately 80 structurally distinct proteins. This gene encodes a member of the L13P family of ribosomal proteins that is a component of the 60S subunit. The encoded protein also plays a role in the repression of inflammatory genes as a component of the IFN-gamma-activated inhibitor of translation (GAIT) complex. This gene is co-transcribed with the small nucleolar RNA genes U32, U33, U34, and U35, which are located in the second, fourth, fifth, and sixth introns, respectively. As is typical for genes encoding ribosomal proteins, there are multiple processed pseudogenes of this gene dispersed throughout the genome. Alternatively spliced transcript variants encoding multiple isoforms have been observed for this gene.

Application Notes

Optimal dilution of the RPL13A antibody should be determined by the researcher.

Immunogen

A human recombinant protein (amino acids A2-V203) was used as the immunogen for the RPL13A antibody.

Storage

After reconstitution, the RPL13A antibody can be stored for up to one month at 4oC. For long-term, aliquot and store at -20oC. Avoid repeated freezing and thawing.

Cross
Bulk Quote Request Form
Name*:
Organization*:
Email*:
Phone Number*:
Catalog No.*:
Comments and Specifics(amount, formulation, etc.)*:
Validation code: Captchapackage Image


Can't read the image? click here to refresh.
    *required field

Your bulk quote request has been submitted successfully!

Please contact us if you have any questions.