• Tel: 858.663.9055
  • SeparatorEmail: info@nsjbio.com
  • Tel: 858.663.9055
  • Email: info@nsjbio.com
Home >> Antibodies >> ROR1 Antibody

ROR1 Antibody (R34116)

  Catalog No Formulation Size Price (USD)  
Image R34116-100UG 0.5 mg/ml in 1X TBS, pH7.3, with 0.5% BSA (US sourced) and 0.02% sodium azide 100 ug 475
Bulk quote request
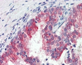
IHC testing of FFPE human prostate tissue with ROR1 antibody at 3ug/ml. Required HIER: steamed antigen retrieval with pH6 citrate buffer.
IHC testing of FFPE human prostate tissue with (left) and without (right) ROR1 antibody at 4ug/ml. Required HIER: steamed antigen retrieval with pH6 citrate buffer.
Availability 1-3 business days
Species Reactivity Human
Predicted Reactivity Mouse, Rat
Format Antigen affinity purified
Host Goat
Clonality Polyclonal (goat origin)
Isotype Goat Ig
Purity Antigen affinity
Gene ID 4919
Applications Immunohistochemistry (FFPE) : 3-6ug/ml
ELISA (peptide) LOD : 1:16000
Limitations This ROR1 antibody is available for research use only.
Review this product on BioCompare and get a $20 Amazon gift card

Related Products

  • Applications : WB, FACS, ELISA
    Reactivity : Human
  • Applications : WB, FACS, IHC-P
    Reactivity : Human, Mouse

Description

Additional name(s) for this target protein: Receptor tyrosine kinase-like orphan receptor 1

Application Notes

Optimal dilution of the ROR1 antibody should be determined by the researcher.

1. This ROR1 antibody is specific for isoform 1 of the protein.

Immunogen

Amino acids GNKSQKPYKIDSKQA were used as the immunogen for this ROR1 antibody.

Storage

Aliquot and store the ROR1 antibody at -20oC.

Cross
Bulk Quote Request Form
Name*:
Organization*:
Email*:
Phone Number*:
Catalog No.*:
Comments and Specifics(amount, formulation, etc.)*:
Validation code: Captchapackage Image


Can't read the image? click here to refresh.
    *required field

Your bulk quote request has been submitted successfully!

Please contact us if you have any questions.