• Tel: 858.663.9055
  • SeparatorEmail: info@nsjbio.com
  • Tel: 858.663.9055
  • Email: info@nsjbio.com
Home >> Antibodies >> RICTOR Antibody

RICTOR Antibody (RQ5637)

  Catalog No Formulation Size Price (USD)  
Image RQ5637 0.5mg/ml if reconstituted with 0.2ml sterile DI water 100 ug 449
Bulk quote request
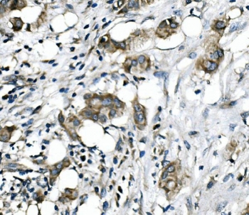
IHC staining of FFPE human breast cancer with RICTOR antibody. HIER: boil tissue sections in pH8 EDTA for 20 min and allow to cool before testing.
IHC staining of FFPE human breast cancer with RICTOR antibody. HIER: boil tissue sections in pH8 EDTA for 20 min and allow to cool before testing.
Immunofluorescent staining of FFPE human A431 cells with RICTOR antibody (green) and DAPI nuclear stain (blue). HIER: steam section in pH6 citrate buffer for 20 min.
Western blot testing of human 1) U-2 OS, 2) K562 and 3) PC-3 lysate with RICTOR antibody. Predicted molecular weight ~200 kDa.
Flow cytometry testing of human 293T cells with RICTOR antibody at 1ug/million cells (blocked with goat sera); Red=cells alone, Green=isotype control, Blue= RICTOR antibody.
Availability 1-3 business days
Species Reactivity Human
Format Antigen affinity purified
Host Rabbit
Clonality Polyclonal
Isotype Rabbit IgG
Purity Affinity purified
Buffer Lyophilized from 1X PBS with 2% Trehalose and 0.025% sodium azide
UniProt Q6R327
Applications Western Blot : 0.5-1ug/ml
Immunohistochemistry : 1-2ug/ml
Immunofluorescence : 2-4ug/ml
Flow Cytometry : 1-3ug/million cells
Direct ELISA : 0.1-0.5ug/ml
Limitations This RICTOR antibody is available for research use only.
Review this product on BioCompare and get a $20 Amazon gift card

Related Products

  • Applications : IHC
    Reactivity : Human
    Pred. Reactivity : Mouse
  • Applications : WB, IHC, ELISA
    Reactivity : Human, Mouse
  • Applications : WB, ELISA
    Reactivity : Human, Mouse
  • Applications : WB, IHC, ELISA
    Reactivity : Human
    Pred. Reactivity : Mouse
  • Applications : WB, ELISA
    Reactivity : Human
  • Applications : IHC, ELISA (peptide)
    Reactivity : Human
    Pred. Reactivity : Dog, Mouse

Description

Rapamycin-insensitive companion of mTOR is a protein that in human is encoded by the RICTOR gene. This gene is mapped to 5p13.1. RICTOR and MTOR are components of a protein complex that integrates nutrient- and growth factor-derived signals to regulate cell growth.

Application Notes

Optimal dilution of the RICTOR antibody should be determined by the researcher.

Immunogen

Recombinant human protein (amino acids E23-H264) was used as the immunogen for the RICTOR antibody.

Storage

After reconstitution, the RICTOR antibody can be stored for up to one month at 4oC. For long-term, aliquot and store at -20oC. Avoid repeated freezing and thawing.

Cross
Bulk Quote Request Form
Name*:
Organization*:
Email*:
Phone Number*:
Catalog No.*:
Comments and Specifics(amount, formulation, etc.)*:
Validation code: Captchapackage Image


Can't read the image? click here to refresh.
    *required field

Your bulk quote request has been submitted successfully!

Please contact us if you have any questions.