• Tel: 858.663.9055
  • SeparatorEmail: info@nsjbio.com
  • Tel: 858.663.9055
  • Email: info@nsjbio.com
Home >> Antibodies >> Ribonuclease 3 Antibody / DROSHA / RNase III

Ribonuclease 3 Antibody / DROSHA / RNase III (RQ5719)

  Catalog No Formulation Size Price (USD)  
Image RQ5719 0.5mg/ml if reconstituted with 0.2ml sterile DI water 100 ug 449
Bulk quote request
Flow cytometry testing of human HL-60 cells with Ribonuclease 3 antibody at 1ug/million cells (blocked with goat sera); Red=cells alone, Green=isotype control, Blue= Ribonuclease 3 antibody.
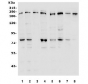
Western blot testing of human 1) HeLa, 2) HEK293, 3) Jurkat, 4) HepG2, 5) SW620, 6) K562, 7) mouse Neuro-2a and 8) mouse ANA-1 lysate with Ribonuclease 3 antibody. Predicted molecular weight ~159 kDa.
Availability 1-3 business days
Species Reactivity Human, Mouse
Format Antigen affinity purified
Host Rabbit
Clonality Polyclonal
Isotype Rabbit IgG
Purity Affinity purified
Buffer Lyophilized from 1X PBS with 2% Trehalose and 0.025% sodium azide
UniProt Q9NRR4
Applications Western Blot : 0.5-1ug/ml
Direct ELISA : 0.1-0.5ug/ml
Limitations This Ribonuclease 3 antibody is available for research use only.
Review this product on BioCompare and get a $20 Amazon gift card

Description

Drosha is a Class 2 ribonuclease III enzyme that in humans is encoded by the DROSHA (formerly RNASEN) gene. This gene encodes a ribonuclease (RNase) III double-stranded RNA-specific ribonuclease and subunit of the microprocessor protein complex, which catalyzes the initial processing step of microRNA (miRNA) synthesis. The encoded protein cleaves the stem loop structure from the primary microRNA (pri-miRNA) in the nucleus, yielding the precursor miRNA (pre-miRNA), which is then exported to the cytoplasm for further processing. In a human cell line lacking a functional copy of this gene, canonical miRNA synthesis is reduced. Somatic mutations in this gene have been observed in human patients with kidney cancer.

Application Notes

Optimal dilution of the Ribonuclease 3 antibody should be determined by the researcher.

Immunogen

Recombinant human protein (amino acids E670-H903) was used as the immunogen for the Ribonuclease 3 antibody.

Storage

After reconstitution, the Ribonuclease 3 antibody can be stored for up to one month at 4oC. For long-term, aliquot and store at -20oC. Avoid repeated freezing and thawing.

Cross
Bulk Quote Request Form
Name*:
Organization*:
Email*:
Phone Number*:
Catalog No.*:
Comments and Specifics(amount, formulation, etc.)*:
Validation code: Captchapackage Image


Can't read the image? click here to refresh.
    *required field

Your bulk quote request has been submitted successfully!

Please contact us if you have any questions.