• Tel: 858.663.9055
  • SeparatorEmail: info@nsjbio.com
  • Tel: 858.663.9055
  • Email: info@nsjbio.com
Home >> Antibodies >> Rho-associated protein kinase 1 Antibody / ROCK1

Rho-associated protein kinase 1 Antibody / ROCK1 (RQ7415)

  Catalog No Formulation Size Price (USD)  
Image RQ7415 0.5mg/ml if reconstituted with 0.2ml sterile DI water 100 ug 449
Bulk quote request
Flow cytometry testing of human U-2 OS cells with Rho-associated protein kinase 1 antibody at 1ug/million cells (blocked with goat sera); Red=cells alone, Green=isotype control, Blue= Rho-associated protein kinase 1 antibody.
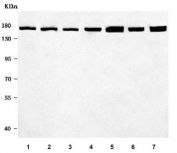
Western blot testing of 1) human HeLa, 2) monkey COS-7, 3) rat liver, 4) rat C6, 5) mouse liver and 6) mouse NIH 3T3 cell lysate with Rho-associated protein kinase 1 antibody. Predicted molecular weight ~158 kDa.
Availability 1-3 business days
Species Reactivity Human, Monkey, Mouse, Rat
Format Antigen affinity purified
Host Rabbit
Clonality Polyclonal (rabbit origin)
Isotype Rabbit IgG
Purity Antigen affinity purified
Buffer Lyophilized from 1X PBS with 2% Trehalose
UniProt Q13464
Applications Western Blot : 0.5-1ug/ml
Flow Cytometry : 1-3ug/million cells
Direct ELISA : 0.1-0.5ug/ml
Limitations This Rho-associated protein kinase 1 antibody is available for research use only.
Review this product on BioCompare and get a $20 Amazon gift card

Related Products

Description

This gene encodes a protein serine/threonine kinase that is activated when bound to the GTP-bound form of Rho. The small GTPase Rho regulates formation of focal adhesions and stress fibers of fibroblasts, as well as adhesion and aggregation of platelets and lymphocytes by shuttling between the inactive GDP-bound form and the active GTP-bound form. Rho is also essential in cytokinesis and plays a role in transcriptional activation by serum response factor. This protein, a downstream effector of Rho, phosphorylates and activates LIM kinase, which in turn, phosphorylates cofilin, inhibiting its actin-depolymerizing activity. A pseudogene, related to this gene, is also located on chromosome 18.

Application Notes

Optimal dilution of the Rho-associated protein kinase 1 antibody should be determined by the researcher.

Immunogen

E. coli-derived recombinant human protein (amino acids K601-R833) was used as the immunogen for the Rho-associated protein kinase 1 antibody.

Storage

After reconstitution, the Rho-associated protein kinase 1 antibody can be stored for up to one month at 4oC. For long-term, aliquot and store at -20oC. Avoid repeated freezing and thawing.

Cross
Bulk Quote Request Form
Name*:
Organization*:
Email*:
Phone Number*:
Catalog No.*:
Comments and Specifics(amount, formulation, etc.)*:
Validation code: Captchapackage Image


Can't read the image? click here to refresh.
    *required field

Your bulk quote request has been submitted successfully!

Please contact us if you have any questions.