- Tel: 858.663.9055
- 
									 Email: info@nsjbio.com Email: info@nsjbio.com
- Tel: 858.663.9055
- Email: info@nsjbio.com
 Email: info@nsjbio.com
Email: info@nsjbio.com
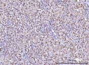
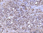
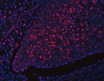
								MHC class II regulatory factor RFX1 is a protein that, in humans, is encoded by the RFX1 gene located on the short arm of chromosome 19. This gene encodes a member of the regulatory factor X (RFX) family of transcription factors, which are characterized by a winged-helix DNA-binding domain. The encoded transcription factor contains an N-terminal activation domain and a C-terminal repression domain, and may activate or repress target gene expression depending on cellular context. This transcription factor has been shown to regulate a wide variety of genes involved in immunity and cancer, including the MHC class II genes and genes that may be involved in cancer progression. This gene exhibits altered expression in glioblastoma and the autoimmune disease systemic lupus erythematosis (SLE).
Optimal dilution of the RFX1 antibody should be determined by the researcher.
E. coli-derived recombinant human protein (amino acids A48-P977) was used as the immunogen for the RFX1 antibody.
After reconstitution, the RFX1 antibody can be stored for up to one month at 4oC. For long-term, aliquot and store at -20oC. Avoid repeated freezing and thawing.
 
Your bulk quote request has been submitted successfully!
Please contact us if you have any questions.