• Tel: 858.663.9055
  • SeparatorEmail: info@nsjbio.com
  • Tel: 858.663.9055
  • Email: info@nsjbio.com
Home >> Antibodies >> RFC1 Antibody / Replication factor C subunit 1

RFC1 Antibody / Replication factor C subunit 1 (R30806)

  Catalog No Formulation Size Price (USD)  
Image R30806 0.5mg/ml if reconstituted with 0.2ml sterile DI water 100 ug 449
Bulk quote request
Immunofluorescent staining of FFPE human U-2 OS cells with RFC1 antibody (green) and Beta Tubulin mAb (red). HIER: steam section in pH6 citrate buffer for 20 min.
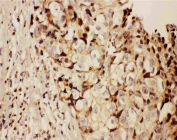
IHC testing of FFPE human breast cancer tissue with RFC1 antibody at 1ug/ml. Required HIER: steam section in pH6 citrate buffer for 20 min and allow to cool prior to staining.
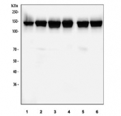
Western blot testing of human 1) 293T, 2) HeLa, 3) HepG2, 4) Raji, 5) K562 and 6) Caco-2 cell lysate with RFC1 antibody. Predicted molecular weight ~128 kDa.
Flow cytometry testing of fixed and permeabilized human HeLa cells with RFC1 antibody at 1ug/million cells (blocked with goat sera); Red=cells alone, Green=isotype control, Blue= RFC1 antibody.
Availability 1-3 business days
Species Reactivity Human
Format Antigen affinity purified
Host Rabbit
Clonality Polyclonal (rabbit origin)
Isotype Rabbit IgG
Purity Antigen affinity
Buffer Lyophilized from 1X PBS with 2.5% BSA and 0.025% sodium azide/thimerosal
UniProt P35251
Localization Nuclear
Applications Western Blot : 0.5-1ug/ml
Immunohistochemistry (FFPE) : 0.5-1ug/ml
Immunofluorescence : 5ug/ml
Flow Cytometry : 1-3ug/million cells
Limitations This RFC1 antibody is available for research use only.
Review this product on BioCompare and get a $20 Amazon gift card

Description

Replication Factor C, also called Activator-1, is a multimeric primer-recognition protein consisting of five distinct subunits of 145, 40, 38, 37, and 36.5 kD. The human protein was purified from extracts of HeLa cells as a host factor essential for the in vitro replication of simian virus 40 (SV40) DNA. RFC, in the presence of ATP, assembles proliferating-cell nuclear antigen and DNA polymerase-delta or polymerase-epsilon on primed DNA templates. Tight interfacial coordination of the ATP analog ATP-gamma-S by RFC resulted in a spiral arrangement of the ATPase domains of the clamp loader above the PCNA ring.

Application Notes

The stated application concentrations are suggested starting amounts. Titration of the RFC1 antibody may be required due to differences in protocols and secondary/substrate sensitivity.

Immunogen

An amino acid sequence from the N-terminus of human RFC1 (NSSRKEDDFKQKQPSKKKR) was used as the immunogen for this RFC1 antibody.

Storage

After reconstitution, the RFC1 antibody can be stored for up to one month at 4oC. For long-term, aliquot and store at -20oC. Avoid repeated freezing and thawing.

Cross
Bulk Quote Request Form
Name*:
Organization*:
Email*:
Phone Number*:
Catalog No.*:
Comments and Specifics(amount, formulation, etc.)*:
Validation code: Captchapackage Image


Can't read the image? click here to refresh.
    *required field

Your bulk quote request has been submitted successfully!

Please contact us if you have any questions.