• Tel: 858.663.9055
  • SeparatorEmail: info@nsjbio.com
  • Tel: 858.663.9055
  • Email: info@nsjbio.com
Home >> Antibodies >> RER1 Antibody

RER1 Antibody (R34188)

  Catalog No Formulation Size Price (USD)  
Image R34188-100UG 0.5 mg/ml in 1X TBS, pH7.3, with 0.5% BSA (US sourced) and 0.02% sodium azide 100 ug 475
Bulk quote request
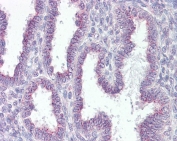
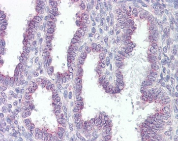
IHC testing of FFPE human uterus tissue with RER1 antibody at 3.75ug/ml. Required HIER: steamed antigen retrieval with pH6 citrate buffer; AP-staining.
Availability 1-3 business days
Species Reactivity Human
Format Antigen affinity purified
Host Goat
Clonality Polyclonal (goat origin)
Isotype Goat Ig
Purity Antigen affinity
Gene ID 11079
Applications Immunohistochemistry (FFPE) : 3.75ug/ml
ELISA (peptide) LOD : 1:128000
Limitations This RER1 antibody is available for research use only.
Review this product on BioCompare and get a $20 Amazon gift card

Description

Additional name(s) for this target protein: Retention in endoplasmic reticulum 1

Application Notes

Optimal dilution of the RER1 antibody should be determined by the researcher.

1. Reported to specifically stain human frontal cortex by IHC.

Immunogen

Amino acids HGKRRYRGKEDAGK were used as the immunogen for this RER1 antibody.

Storage

Aliquot and store the RER1 antibody at -20oC.

Cross
Bulk Quote Request Form
Name*:
Organization*:
Email*:
Phone Number*:
Catalog No.*:
Comments and Specifics(amount, formulation, etc.)*:
Validation code: Captchapackage Image


Can't read the image? click here to refresh.
    *required field

Your bulk quote request has been submitted successfully!

Please contact us if you have any questions.