• Tel: 858.663.9055
  • SeparatorEmail: info@nsjbio.com
  • Tel: 858.663.9055
  • Email: info@nsjbio.com
Home >> Antibodies >> Recombinant Transferrin Receptor Antibody / TFRC / CD71

Recombinant Transferrin Receptor Antibody / TFRC / CD71 [clone RM384] (R20401)

  Catalog No Formulation Size Price (USD)  
Image R20401-0.1ML Antibody in PBS with 50% glycerol, 1% BSA and 0.09% sodium azide 100 ul 439
Microvalidated Recrabbitmono
Bulk quote request
Western blot testing of human HeLa cell lysate with recombinant Transferrin Receptor antibody at 1:1000 dilution. Predicted molecular weight 85~95 kDa.
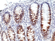
IHC staining of FFPE human colon cancer tissue with recombinant Transferrin Receptor antibody at 1:500.
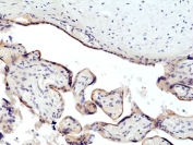
IHC staining of FFPE human placental tissue with recombinant Transferrin Receptor antibody at 1:500.
Availability 1-3 business days
Species Reactivity Human
Format Purified
Host Rabbit
Clonality Recombinant Rabbit Monoclonal
Isotype Rabbit IgG
Clone Name RM384
Purity Protein A purified from animal origin-free supernatant
UniProt P027865
Applications Immunohistochemistry (FFPE) : 1:250-1:500
Western Blot : 1:1000-1:2000
Limitations This recombinant Transferrin Receptor antibody is available for research use only.
Review this product on BioCompare and get a $20 Amazon gift card

Related Products

Description

This antibody reacts to human TFRC / CD71.

Application Notes

The stated application concentrations are suggested starting points. Titration of the recombinant Transferrin Receptor antibody may be required due to differences in protocols and secondary/substrate sensitivity.

Immunogen

A peptide corresponding to the internal region of the human protein was used as the immunogen for the recombinant Transferrin Receptor antibody.

Storage

Store the recombinant Transferrin Receptor antibody at -20oC.

Cross
Bulk Quote Request Form
Name*:
Organization*:
Email*:
Phone Number*:
Catalog No.*:
Comments and Specifics(amount, formulation, etc.)*:
Validation code: Captchapackage Image


Can't read the image? click here to refresh.
    *required field

Your bulk quote request has been submitted successfully!

Please contact us if you have any questions.