• Tel: 858.663.9055
  • SeparatorEmail: info@nsjbio.com
  • Tel: 858.663.9055
  • Email: info@nsjbio.com
Home >> Antibodies >> TNFSF15 Antibody Microarray Validated / TL1A / VEGI

TNFSF15 Antibody Microarray Validated / TL1A / VEGI [clone VEGI/2052R] (V3636)

  Catalog No Formulation Size Price (USD)  
Image V3636-100UG 0.2 mg/ml in 1X PBS with 0.1 mg/ml BSA (US sourced) and 0.05% sodium azide 100 ug 559
Image
V3636-20UG 0.2 mg/ml in 1X PBS with 0.1 mg/ml BSA (US sourced) and 0.05% sodium azide 20 ug 259
Image
V3636SAF-100UG 1 mg/ml in 1X PBS; BSA free, sodium azide free 100 ug 559
Image
V3636IHC-7ML Prediluted in 1X PBS with 0.1 mg/ml BSA (US sourced) and 0.05% sodium azide; *For IHC use only* 7 ml 559
Microvalidated Recrabbitmono
Bulk quote request
Analysis of HuProt(TM) microarray containing more than 19,000 full-length human proteins using recombinant TNFSF15 antibody (clone VEGI/2052R). These results demonstrate the foremost specificity of the VEGI/2052R mAb.
Z- and S- score: The Z-score represents the strength of a signal that an antibody (in combination with a fluorescently-tagged anti-IgG secondary Ab) produces when binding to a particular protein on the HuProt(TM) array. Z-scores are described in units of standard deviations (SD's) above the mean value of all signals generated on that array. If the targets on the HuProt(TM) are arranged in descending order of the Z-score, the S-score is the difference (also in units of SD's) between the Z-scores. The S-score therefore represents the relative target specificity of an Ab to its intended target.
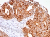
IHC testing of FFPE human parathyroid mass with recombinant TNFSF15 antibody (clone VEGI/2052R). Required HIER: boil sections in 10mM Tris with 1mM EDTA, pH9, for 10-20 min followed by cooling at RT for 20 min.
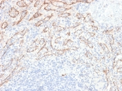
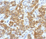
Immunohistochemistry of TNFSF15 antibody in human colon carcinoma tissue. FFPE human colon carcinoma demonstrates strong membranous and cytoplasmic HRP-DAB brown staining within gland-forming tumor epithelial cells, consistent with VEGI / TNFSF15 localization in epithelial and vascular-associated compartments. Clone VEGI/2052R was used as a recombinant rabbit monoclonal antibody that is Microarray Validated. Heat-induced epitope retrieval was performed by boiling sections in 10 mM Tris with 1 mM EDTA, pH 9, for 10-20 minutes followed by cooling at room temperature for 20 minutes prior to staining.
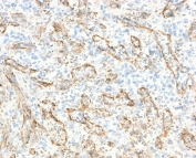
Immunohistochemistry of TNFSF15 antibody in human spleen tissue. FFPE human spleen demonstrates membranous and cytoplasmic HRP-DAB brown staining predominantly within vascular endothelial structures and scattered stromal cells, consistent with VEGI / TNFSF15 expression in vascular and immune-associated compartments. Clone VEGI/2052R was used as a recombinant rabbit monoclonal antibody that is Microarray Validated. Heat-induced epitope retrieval was performed by boiling sections in 10 mM Tris with 1 mM EDTA, pH 9, for 10-20 minutes followed by cooling at room temperature for 20 minutes prior to staining.
SDS-PAGE analysis of purified, BSA-free recombinant TNFSF15 antibody (clone VEGI/2052R) as confirmation of integrity and purity.
Species Reactivity Human
Format Purified
Host Rabbit
Clonality Recombinant Rabbit Monoclonal
Isotype Rabbit IgG, kappa
Clone Name VEGI/2052R
Purity Protein A affinity chromatography
UniProt O95150
Gene ID 9966
Localization Cytoplasmic, cell surface, secreted
Applications Immunohistochemistry (FFPE) : 1-2ug/ml for 30 min at RT
Limitations This recombinant TNFSF15 antibody is available for research use only.
Review this product on BioCompare and get a $20 Amazon gift card

Related Products

Description

TNFSF15 antibody recognizes Vascular endothelial growth inhibitor, also known as VEGI and TL1A, a cytokine encoded by the TNFSF15 gene. TNFSF15 is a member of the tumor necrosis factor ligand superfamily and is primarily expressed by endothelial cells and select immune cell populations. VEGI functions as an anti-angiogenic and immune-regulatory factor, influencing vascular remodeling and inflammatory signaling pathways. TNFSF15 Antibody Microarray Validated is developed to detect endogenous Vascular endothelial growth inhibitor in research applications focused on angiogenesis and immune regulation.

VEGI binds to death receptor 3, also known as TNFRSF25, activating downstream signaling cascades that regulate apoptosis, cytokine production, and T cell responses. Through this interaction, TNFSF15 modulates endothelial cell proliferation and helps maintain vascular homeostasis. In addition to its anti-angiogenic effects, VEGI plays an important role in shaping adaptive immune responses, particularly in T helper cell activation and differentiation.

The TNFSF15 gene is located on chromosome 9q32 and encodes a type II transmembrane protein that can be cleaved to generate a soluble form. VEGI expression has been detected in vascular endothelium, intestinal tissue, and immune-associated compartments. Dysregulated TNFSF15 signaling has been linked to inflammatory bowel disease, autoimmune conditions, and tumor-associated vascular remodeling. In oncologic research, VEGI has been investigated for its capacity to inhibit tumor angiogenesis and suppress growth of certain malignancies by limiting vascular supply.

Microarray validation supports specificity profiling of this antibody against a broad panel of proteins, providing an additional level of confidence for target recognition. By targeting TNFSF15, this recombinant rabbit monoclonal antibody supports studies of VEGI-mediated signaling, endothelial biology, immune modulation, and angiogenic regulation.

Clone VEGI/2052R is a recombinant rabbit monoclonal antibody that recognizes Vascular endothelial growth inhibitor and is suitable for detecting TNFSF15 expression in diverse research models.

Application Notes

Titration of the recombinant TNFSF15 antibody may be required for optimal performance.

1. The prediluted format is supplied in a dropper bottle and is optimized for use in IHC. After epitope retrieval step (if required), drip mAb solution onto the tissue section and incubate at RT for 30 min.

Immunogen

A full length human recombinant protein was used as the immunogen for this recombinant TNFSF15 antibody.

Storage

Store the recombinant TNFSF15 antibody at 2-8oC (with azide) or aliquot and store at -20oC or colder (without azide).

Cross
Bulk Quote Request Form
Name*:
Organization*:
Email*:
Phone Number*:
Catalog No.*:
Comments and Specifics(amount, formulation, etc.)*:
Validation code: Captchapackage Image


Can't read the image? click here to refresh.
    *required field

Your bulk quote request has been submitted successfully!

Please contact us if you have any questions.