- Tel: 858.663.9055
- 
									 Email: info@nsjbio.com Email: info@nsjbio.com
- Tel: 858.663.9055
- Email: info@nsjbio.com
 Email: info@nsjbio.com
Email: info@nsjbio.com
								Related Products
| 
 | 
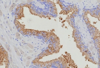
It recognizes a protein of 36kDa, identified as Thymidylate Synthase (TS) (EC 2.1.1.45). It converts deoxyuridine monophosphate (dUMP) to deoxythymidine monophosphate (dTMP), which is essential for DNA biosynthesis. TS is also a critical target for the fluoropyrimidines, an important group of antineoplastic drugs that are widely used in the treatment of solid tumors. Both 5-FU and fluorodeoxyuridine are converted in tumor cells to FdUMP which inactivates TS by formation of a ternary covalent complex in the presence of the folate cofactor 5,10-methylenetetrahydrofolate. Expression of TS protein has been reported to associate with response to 5-fluorouracil (5-FU) in human colorectal, gastric, head and neck, and breast carcinomas.
Optimal dilution of the recombinant Thymidylate Synthase antibody should be determined by the researcher.
A recombinant human thymidylate synthase protein fragment (within amino acids 1-200) was used as the immunogen for the recombinant Thymidylate Synthase antibody.
Aliquot the recombinant Thymidylate Synthase antibody and store frozen at -20oC or colder. Avoid repeated freeze-thaw cycles.
 
Your bulk quote request has been submitted successfully!
Please contact us if you have any questions.