• Tel: 858.663.9055
  • SeparatorEmail: info@nsjbio.com
  • Tel: 858.663.9055
  • Email: info@nsjbio.com
Home >> Antibodies >> Recombinant Spectrin beta III Antibody / SPTBN2

Recombinant Spectrin beta III Antibody / SPTBN2 [clone SPTBN2/2894R] (V7352)

  Catalog No Formulation Size Price (USD)  
Image V7352-100UG 0.2 mg/ml in 1X PBS with 0.1 mg/ml BSA (US sourced) and 0.05% sodium azide 100 ug 559
Image
V7352-20UG 0.2 mg/ml in 1X PBS with 0.1 mg/ml BSA (US sourced) and 0.05% sodium azide 20 ug 259
Image
V7352SAF-100UG 1 mg/ml in 1X PBS; BSA free, sodium azide free 100 ug 559
Image
V7352IHC-7ML Prediluted in 1X PBS with 0.1 mg/ml BSA (US sourced) and 0.05% sodium azide; *For IHC use only* 7 ml 559
Microvalidated Recrabbitmono
Bulk quote request
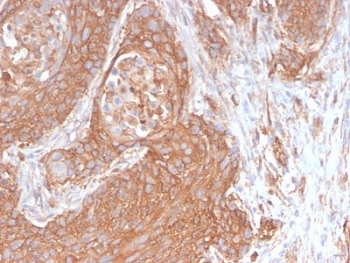
IHC testing of FFPE human pancreatic cancer with recombinant Spectrin beta III antibody (clone SPTBN2/2894R). Required HIER: boil tissue sections in pH 9 10mM Tris with 1mM EDTA for 10-20 min followed by cooling at RT for 20 min.
IHC testing of FFPE human pancreatic cancer with recombinant Spectrin beta III antibody (clone SPTBN2/2894R). Required HIER: boil tissue sections in pH 9 10mM Tris with 1mM EDTA for 10-20 min followed by cooling at RT for 20 min.
Western blot testing of human PANC-1 and HeLa cell lysate with recombinant Spectrin beta III antibody (clone SPTBN2/2894R). Predicted molecular weight ~246 kDa.
FACS testing of fixed and permeabilized human HeLa cells with recombinant Spectrin beta III antibody (blue) and isotype control (red).
SDS-PAGE analysis of purified, BSA-free recombinant Spectrin beta III antibody (clone SPTBN2/2894R) as confirmation of integrity and purity.
Species Reactivity Human
Format Purified
Host Rabbit
Clonality Recombinant Rabbit Monoclonal
Isotype Rabbit IgG, kappa
Clone Name SPTBN2/2894R
Purity Protein A affinity chromatography
UniProt O15020
Localization Cell surface, cytoplasm
Applications Flow Cytometry : 1-2ug/10^6 cells
ELISA : 2-4ug/ml (order BSA/azide-free format)
Western Blot : 1-2ug/ml
Immunohistochemistry (FFPE) : 1-2ug/ml for 30 min at RT
Limitations This recombinant Spectrin beta III antibody is available for research use only.
Review this product on BioCompare and get a $20 Amazon gift card

Related Products

Description

Spectrin is an actin binding protein that is a major component of the plasma membrane skeleton. Spectrins function as membrane organizers and stabilizers by forming dimers, tetramers and higher polymers. Vertebrate spectrins have two alpha-subunits (alpha-I/alpha-II), four beta-subunits (beta-I-beta-IV) and a beta-H subunit creating diversity and specialization of function. Spectrin and spectrin are present in erythrocytes, whereas spectrin II (also designated fodrin ) and spectrin I (also designated fodrin ) are present in other somatic cells. The spectrin tetramers in erythrocytes act as barriers to lateral diffusion, but spectrin dimers seem to lack this function. Spectrin III is highly homologous to both spectrin I and spectrin II. Spectrin III is highly expressed in brain, kidney, pancreas and liver, and at lower levels in lung and placenta.

Application Notes

The concentration stated for each application is a general starting point. Variations in protocols, secondaries and substrates may require the recombinant Spectrin beta III antibody to be titered up or down for optimal performance.

1. The prediluted format is supplied in a dropper bottle and is optimized for use in IHC. After epitope retrieval step (if required), drip mAb solution onto the tissue section and incubate at RT for 30 min.

Immunogen

Human recombinant partial protein corresponding to amino acids 356-475 was used as the immunogen for this recombinant Spectrin beta III antibody.

Storage

Store the recombinant Spectrin beta III antibody at 2-8oC (with azide) or aliquot and store at -20oC or colder (without azide).

Cross
Bulk Quote Request Form
Name*:
Organization*:
Email*:
Phone Number*:
Catalog No.*:
Comments and Specifics(amount, formulation, etc.)*:
Validation code: Captchapackage Image


Can't read the image? click here to refresh.
    *required field

Your bulk quote request has been submitted successfully!

Please contact us if you have any questions.