• Tel: 858.663.9055
  • SeparatorEmail: info@nsjbio.com
  • Tel: 858.663.9055
  • Email: info@nsjbio.com
Home >> Antibodies >> Recombinant p27Kip1 Antibody / p27 / CDKN1B

Recombinant p27Kip1 Antibody / p27 / CDKN1B [clone KIP1/1355R] (V9526)

  Catalog No Formulation Size Price (USD)  
Image V9526-100UG 0.2 mg/ml in 1X PBS with 0.1 mg/ml BSA (US sourced), 0.05% sodium azide 100 ug 559
Image
V9526-20UG 0.2 mg/ml in 1X PBS with 0.1 mg/ml BSA (US sourced), 0.05% sodium azide 20 ug 259
Image
V9526SAF-100UG 1 mg/ml in 1X PBS; BSA free, sodium azide free 100 ug 559
Microvalidated Recrabbitmono
Bulk quote request
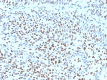
p27Kip1 Antibody Human Bladder Tissue IHC. Immunohistochemistry staining of FFPE human bladder tissue with recombinant p27Kip1 antibody (clone clone KIP1/1355R) at 2ug/ml. HIER: boil tissue sections in pH 9 10mM Tris with 1mM EDTA for 20 min and allow to cool before testing. Strong nuclear staining observed.
SDS-PAGE analysis of purified, BSA-free recombinant p27Kip1 antibody (clone KIP1/1355R) as confirmation of integrity and purity.
Western blot testing of human A431 cell lysate with recombinant p27Kip1 antibody. Expected molecular weight ~27 kDa.
Western blot testing of mouse NIH 3T3 cell lysate with recombinant p27Kip1 antibody. Expected molecular weight ~27 kDa.
p27Kip1 Antibody Multi-Species Skeletal Muscle WB. Western blot analysis of p27Kip1 / CDKN1B expression across skeletal muscle lysates from multiple species using p27Kip1 antibody clone KIP1/1355R. Lane 1: human skeletal muscle lysate, Lane 2: mouse skeletal muscle lysate, Lane 3: rat skeletal muscle lysate, Lane 4: hamster skeletal muscle lysate, Lane 5: guinea pig skeletal muscle lysate, Lane 6: rabbit skeletal muscle lysate. A band is detected at approximately 27-29 kDa in all samples, consistent with the predicted molecular weight of p27Kip1 (CDKN1B), a cyclin-dependent kinase inhibitor that regulates cell cycle progression. The consistent signal across species supports the use of this clone for cross-species western blot analysis.
p27Kip1 Antibody Human Tissue WB. Western blot analysis of p27Kip1 / CDKN1B expression in human tissue lysates using p27Kip1 antibody clone KIP1/1355R. Lane 1: human spleen lysate, Lane 2: human skeletal muscle lysate. A band is detected at approximately 27-29 kDa in both samples, consistent with the predicted molecular weight of p27Kip1 (CDKN1B), a cyclin-dependent kinase inhibitor that regulates cell cycle progression. Detection across distinct tissue types supports the use of this clone for western blot analysis in diverse human samples.
Availability 1-3 business days
Species Reactivity Human, Mouse, Rat, Hamster, Rabbit, Guinea pig
Format Purified
Host Rabbit
Clonality Recombinant Rabbit Monoclonal
Isotype Rabbit IgG
Clone Name KIP1/1355R
Purity Protein A/G affinity
UniProt P46527
Localization Nuclear
Applications Western Blot : 2-4ug/ml (Human/Mouse/Rat/Rabbit/Hamster/Guinea pig)
Immunohistochemistry (FFPE) : 1-2ug/ml (Human)
Limitations This recombinant p27Kip1 antibody is available for research use only.
Review this product on BioCompare and get a $20 Amazon gift card

Related Products

Description

Recombinant p27Kip1 Antibody recognizes a 27kDa protein, identified as the p27Kip1, a cell cycle regulatory mitotic inhibitor. It functions as a negative regulator of G1 progression and has been proposed to function as a possible mediator of TGF-b induced G1 arrest.

This antibody is part of a broader antibody panel offered by NSJ Bioreagents.

Application Notes

Optimal dilution of the recombinant p27Kip1 antibody should be determined by the researcher.

Immunogen

Recombinant full-length human CDKN1B protein was used as the immunogen for the recombinant p27Kip1 antibody.

Storage

Aliquot the recombinant p27Kip1 antibody and store frozen at -20oC or colder. Avoid repeated freeze-thaw cycles.

Cross
Bulk Quote Request Form
Name*:
Organization*:
Email*:
Phone Number*:
Catalog No.*:
Comments and Specifics(amount, formulation, etc.)*:
Validation code: Captchapackage Image


Can't read the image? click here to refresh.
    *required field

Your bulk quote request has been submitted successfully!

Please contact us if you have any questions.