• Tel: 858.663.9055
  • SeparatorEmail: info@nsjbio.com
  • Tel: 858.663.9055
  • Email: info@nsjbio.com
Home >> Antibodies >> Recombinant NCAM-L1 Antibody / CD171 / L1CAM

Recombinant NCAM-L1 Antibody / CD171 / L1CAM [clone L1CAM/9146R] (V5534)

  Catalog No Formulation Size Price (USD)  
Image V5534-100UG 0.2 mg/ml in 1X PBS with 0.1 mg/ml BSA (US sourced), 0.05% sodium azide 100 ug 559
Image
V5534-20UG 0.2 mg/ml in 1X PBS with 0.1 mg/ml BSA (US sourced), 0.05% sodium azide 20 ug 259
Image
V5534SAF-100UG 1 mg/ml in 1X PBS; BSA free, sodium azide free 100 ug 559
Microvalidated Recrabbitmono
Bulk quote request
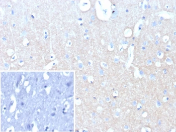
IHC staining of FFPE human brain tissue with recombinant NCAM-L1 antibody (clone L1CAM/9146R). Inset: PBS used in place of primary Ab (secondary Ab negative control). HIER: boil tissue sections in pH 9 10mM Tris with 1mM EDTA for 20 min and allow to cool before testing.
SDS-PAGE analysis of purified, BSA-free recombinant NCAM-L1 antibody (clone L1CAM/9146R) as confirmation of integrity and purity.
Availability 1-3 business days
Species Reactivity Human
Format Purified
Host Rabbit
Clonality Recombinant Rabbit Monoclonal
Isotype Rabbit IgG, kappa
Clone Name L1CAM/9146R
Purity Protein A/G affinity
UniProt P32004
Localization Cytoplasm, Cell membrane
Applications Immunohistochemistry (FFPE) : 1-2ug/ml
Limitations This recombinant NCAM-L1 antibody is available for research use only.
Review this product on BioCompare and get a $20 Amazon gift card

Related Products

Description

L1 (L1 cell adhesion molecule) also known as CAML1, CD171, and HSAS is an adhesion molecule which plays an important role in the nervous system development, including neuronal migration and differentiation. Mutations in the gene cause three X-linked neurological syndromes known by the acronym CRASH (corpus callosum hypoplasia, retardation, aphasia, spastic paraplegia and hydrocephalus). This mouse monoclonal antibody recognizes the sequence immediately NH2-terminal to the tyrosine-based motif and binds L1 only when Y1176 is dephosphorylated. Phosphorylation of either T1172 or Y1176 strongly inhibits binding of 74-5H7 to the L1 cytoplasmic domain.

Application Notes

Optimal dilution of the recombinant NCAM-L1 antibody should be determined by the researcher.

Immunogen

Recombinant full-length human L1CAM protein was used as the immunogen for the recombinant NCAM-L1 antibody.

Storage

Aliquot the recombinant NCAM-L1 antibody and store frozen at -20oC or colder. Avoid repeated freeze-thaw cycles.

Cross
Bulk Quote Request Form
Name*:
Organization*:
Email*:
Phone Number*:
Catalog No.*:
Comments and Specifics(amount, formulation, etc.)*:
Validation code: Captchapackage Image


Can't read the image? click here to refresh.
    *required field

Your bulk quote request has been submitted successfully!

Please contact us if you have any questions.