• Tel: 858.663.9055
  • SeparatorEmail: info@nsjbio.com
  • Tel: 858.663.9055
  • Email: info@nsjbio.com
Home >> Antibodies >> Mucin 6 Antibody / MUC6 / Gastric Mucin

Mucin 6 Antibody / MUC6 / Gastric Mucin [clone MUC6/7069R] (V8924)

  Catalog No Formulation Size Price (USD)  
Image V8924-100UG 0.2 mg/ml in 1X PBS with 0.1 mg/ml BSA (US sourced), 0.05% sodium azide 100 ug 559
Image
V8924-20UG 0.2 mg/ml in 1X PBS with 0.1 mg/ml BSA (US sourced), 0.05% sodium azide 20 ug 259
Image
V8924SAF-100UG 1 mg/ml in 1X PBS; BSA free, sodium azide free 100 ug 559
Microvalidated Recrabbitmono
Bulk quote request
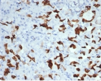
Immunohistochemistry analysis of Mucin 6 / MUC6 antibody (clone MUC6/7069R) in human salivary gland tissue. FFPE human salivary gland section shows cytoplasmic brown chromogenic staining in mucin-producing glandular epithelial cells, consistent with MUC6 expression, while surrounding stromal elements exhibit minimal staining and nuclei appear blue. Heat-induced epitope retrieval was performed by boiling tissue sections in pH 9 10 mM Tris with 1 mM EDTA for 20 minutes followed by cooling prior to staining.
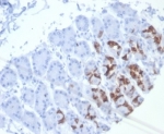
IHC staining of FFPE human stomach tissue with recombinant Mucin 6 antibody (clone MUC6/7069R). HIER: boil tissue sections in pH 9 10mM Tris with 1mM EDTA for 20 min and allow to cool before testing.
Availability 1-3 business days
Species Reactivity Human
Format Purified
Host Rabbit
Clonality Recombinant Rabbit Monoclonal
Isotype Rabbit IgG, kappa
Clone Name MUC6/7069R
Purity Protein A/G affinity
UniProt Q6W4X9
Localization Cytoplasm, Secreted
Applications Immunohistochemistry (FFPE) : 1-2ug/ml
Limitations This Mucin 6 antibody is available for research use only.
Review this product on BioCompare and get a $20 Amazon gift card

Related Products

Description

Mucin 6 antibody (clone MUC6/7069R) targets Mucin 6, a secreted gel-forming mucin encoded by the human MUC6 gene and a member of the secreted mucin family expressed primarily in gastric and duodenal glands. Mucin 6, also widely referred to as MUC6 in the literature, is predominantly produced by pyloric glands of the stomach and Brunner glands of the duodenum. The recombinant Mucin 6 antibody clone MUC6/7069R is useful in studies of gastric gland differentiation and gastrointestinal pathology because MUC6 expression helps define pyloric-type mucin production in normal and neoplastic tissues.

MUC6 is synthesized as a large, heavily O-glycosylated secreted glycoprotein that polymerizes to form part of the protective mucus layer in the gastrointestinal tract. In normal stomach tissue, Mucin 6 is localized to the cytoplasm and secretory granules of deep gastric gland cells, in contrast to MUC5AC, which marks surface foveolar epithelium. This complementary expression pattern makes Mucin 6 antibody clone MUC6/7069R particularly useful for distinguishing glandular zones within gastric mucosa and for evaluating mucin phenotype shifts in metaplasia and carcinoma.

Aberrant MUC6 expression has been reported in gastric adenocarcinoma, pancreatic neoplasms, and certain colorectal tumors with gastric differentiation. Alterations in Mucin 6 distribution are also observed in intestinal metaplasia and other preneoplastic conditions. Because of its gland-restricted expression pattern, Mucin 6 antibody clone MUC6/7069R supports immunohistochemical characterization of gastric-type differentiation and mucin subclass profiling in research applications.

Structurally, Mucin 6 contains extensive tandem repeat domains rich in serine and threonine residues that support dense O-glycosylation, along with cysteine-rich domains that mediate mucin polymerization and gel formation. A Mucin 6 antibody such as clone MUC6/7069R is suitable for detecting MUC6 expression in gastric glands, duodenal Brunner glands, and mucin-producing glandular tissues in research settings.

Application Notes

Optimal dilution of the Mucin 6 antibody should be determined by the researcher.

Immunogen

Recombinant human Mucin 6 protein was used as the immunogen for the MUC6 antibody.

Storage

Aliquot the Mucin 6 antibody and store frozen at -20oC or colder. Avoid repeated freeze-thaw cycles.

Cross
Bulk Quote Request Form
Name*:
Organization*:
Email*:
Phone Number*:
Catalog No.*:
Comments and Specifics(amount, formulation, etc.)*:
Validation code: Captchapackage Image


Can't read the image? click here to refresh.
    *required field

Your bulk quote request has been submitted successfully!

Please contact us if you have any questions.