• Tel: 858.663.9055
  • SeparatorEmail: info@nsjbio.com
  • Tel: 858.663.9055
  • Email: info@nsjbio.com
Home >> Antibodies >> Recombinant MART-1 Antibody / Rabbit Monoclonal

Recombinant MART-1 Antibody / Rabbit Monoclonal [clone MLANA/1409R] (V7267)

  Catalog No Formulation Size Price (USD)  
Image V7267-100UG 0.2 mg/ml in 1X PBS with 0.1 mg/ml BSA (US sourced) and 0.05% sodium azide 100 ug 559
Image
V7267-20UG 0.2 mg/ml in 1X PBS with 0.1 mg/ml BSA (US sourced) and 0.05% sodium azide 20 ug 259
Image
V7267SAF-100UG 1 mg/ml in 1X PBS; BSA free, sodium azide free 100 ug 559
Image
V7267IHC-7ML Prediluted in 1X PBS with 0.1 mg/ml BSA (US sourced) and 0.05% sodium azide; *For IHC use only* 7 ml 559
Microvalidated Recrabbitmono
Bulk quote request
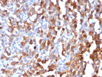
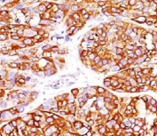
MART-1 Antibody Melanoma IHC. Immunohistochemistry testing of formalin-fixed, paraffin-embedded human melanoma stained with recombinant MART-1 antibody (clone MLANA/1409R). HIER: steam sections in pH 9 10mM Tris with 1mM EDTA for 10-20 min followed by cooling at RT for 20 min.
IHC testing of formalin-fixed, paraffin-embedded human melanoma stained with recombinant MART-1 antibody (clone MLANA/1409R). HIER: steam sections in pH 9 10mM Tris with 1mM EDTA for 10-20 min followed by cooling at RT for 20 min.
SDS-PAGE analysis of purified, BSA-free recombinant MART-1 antibody (clone MLANA/1409R) as confirmation of integrity and purity.
Western blot testing of human COLO-38 cell lysate with recombinant Melan-A antibody (clone MLANA/1761R). Expected molecular weight ~20 kDa with possible doublet.
Availability 1-3 business days
Species Reactivity Human
Format Purified
Host Rabbit
Clonality Recombinant Rabbit Monoclonal
Isotype Rabbit IgG, kappa
Clone Name MLANA/1409R
Purity Protein A affinity chromatography
UniProt Q16655
Localization Cytoplasmic
Applications Immunohistochemistry (FFPE) : 1-2ug/ml for 30 min at RT
Western Blot : 1-2ug/ml
Limitations This recombinant MART-1 antibody is available for research use only.
Review this product on BioCompare and get a $20 Amazon gift card

Related Products

Description

MART-1/Melan-A is a protein antigen that is found on the surface of melanocytes. Antibodies against the antigen are used in the medical specialty of anatomic pathology in order to recognize cells of melanocytic differentiation, useful for the diagnosis of a melanoma. The MART-1/Melan-A antigen is specific for the melanocyte lineage, found in normal skin, the retina, and melanocytes, but not in other normal tissues. It is thus useful as a marker for melanocytic tumors (melanomas) with the caveat that it is normally found in benign nevi as well. [Wiki]

This antibody is part of the Melan-A antibody collection, where additional MLANA/MART-1 antibodies for various applications can be explored.

Application Notes

The optimal dilution of the recombinant MART-1 antibody for each application should be determined by the researcher.

1. The prediluted format is supplied in a dropper bottle and is optimized for use in IHC. After epitope retrieval step (if required), drip mAb solution onto the tissue section and incubate at RT for 30 min.

Immunogen

Human protein was used as the immunogen for this recombinant MART-1 antibody.

Storage

Store the recombinant MART-1 antibody at 2-8oC (with azide) or aliquot and store at -20oC or colder (without azide).

Cross
Bulk Quote Request Form
Name*:
Organization*:
Email*:
Phone Number*:
Catalog No.*:
Comments and Specifics(amount, formulation, etc.)*:
Validation code: Captchapackage Image


Can't read the image? click here to refresh.
    *required field

Your bulk quote request has been submitted successfully!

Please contact us if you have any questions.