• Tel: 858.663.9055
  • SeparatorEmail: info@nsjbio.com
  • Tel: 858.663.9055
  • Email: info@nsjbio.com
Home >> Antibodies >> Mammaglobin Antibody - Microarray Specificity Validation / SCGB2A2 Antibody

Mammaglobin Antibody - Microarray Specificity Validation / SCGB2A2 Antibody [clone MGB/4057R] (V8617)

  Catalog No Formulation Size Price (USD)  
Image V8617-100UG 0.2 mg/ml in 1X PBS with 0.1 mg/ml BSA (US sourced) and 0.05% sodium azide 100 ug 559
Image
V8617-20UG 0.2 mg/ml in 1X PBS with 0.1 mg/ml BSA (US sourced) and 0.05% sodium azide 20 ug 259
Image
V8617SAF-100UG 1 mg/ml in 1X PBS; BSA free, sodium azide free 100 ug 559
Microvalidated Recrabbitmono
Bulk quote request
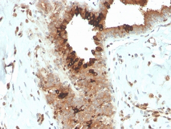
Mammaglobin Antibody - Microarray Specificity Validation (clone MGB/4057R) immunohistochemistry of human breast carcinoma. FFPE human breast carcinoma tissue was stained with Mammaglobin Antibody - Microarray Specificity Validation (clone MGB/4057R). HRP-DAB brown chromogenic signal highlights cytoplasmic staining in tumor epithelial cells lining glandular structures, consistent with expression of Mammaglobin A / SCGB2A2 in breast carcinoma cells, while surrounding stromal cells show little to no staining. Heat-induced epitope retrieval was performed by boiling tissue sections in pH 9 10mM Tris with 1mM EDTA for 20 minutes followed by cooling prior to staining.
IHC staining of FFPE human breast carcinoma with recombinant Mammaglobin antibody (clone MGB/4057R). HIER: boil tissue sections in pH 9 10mM Tris with 1mM EDTA for 20 min and allow to cool before testing.
Mammaglobin Antibody - Microarray Specificity Validation (clone MGB/4057R) protein microarray analysis. Analysis of a HuProt(TM) microarray containing more than 19,000 full-length human proteins was performed using Mammaglobin Antibody - Microarray Specificity Validation (clone MGB/4057R). The strongest binding signal corresponds to SCGB2A2 (Mammaglobin A), which ranks first on the array, demonstrating high specificity of the MGB/4057R recombinant rabbit monoclonal antibody for its intended target. Z- and S-scores quantify antibody binding strength and specificity. The Z-score represents the signal intensity generated when the antibody, together with a fluorescently labeled anti-IgG secondary antibody, binds to a protein on the array and is expressed as standard deviations above the mean signal of the array. When proteins are ordered by descending Z-score, the S-score represents the difference between adjacent Z-scores and therefore reflects the relative specificity of the antibody for its intended antigen.
Availability 1-3 business days
Species Reactivity Human
Format Purified
Host Rabbit
Clonality Recombinant Rabbit Monoclonal
Isotype Rabbit IgG, kappa
Clone Name MGB/4057R
Purity Protein A affinity chromatography
UniProt Q13296
Localization Cytoplasm
Applications Immunohistochemistry (FFPE) : 1-2ug/ml for 30 minutes at RT
Limitations This Mammaglobin antibody is available for research use only.
Review this product on BioCompare and get a $20 Amazon gift card

Related Products

Description

Mammaglobin A (SCGB2A2) is a secreted epithelial glycoprotein encoded by the SCGB2A2 gene and belongs to the secretoglobin family of small secreted proteins expressed primarily in mammary tissue. Mammaglobin Antibody - Microarray Specificity Validation (clone MGB/4057R) recognizes Mammaglobin A / SCGB2A2 and incorporates large-scale protein microarray testing to demonstrate selective target recognition across thousands of human proteins.

Protein microarray specificity validation provides a comprehensive strategy for evaluating antibody binding selectivity. In this approach, antibodies are screened against arrays containing thousands of purified full-length human proteins simultaneously. Signal intensity measurements allow identification of the intended target protein while also revealing potential off-target interactions. Mammaglobin Antibody - Microarray Specificity Validation (clone MGB/4057R) demonstrates strong preferential binding to Mammaglobin A / SCGB2A2 relative to other proteins present on the array, supporting the specificity of this recombinant rabbit monoclonal antibody.

Mammaglobin antibody, also referred to as Mammaglobin A antibody or SCGB2A2 antibody in the literature, detects a protein that is strongly associated with mammary epithelial differentiation. Mammaglobin A is produced by luminal epithelial cells of the breast and is secreted into glandular lumens. Its expression is therefore commonly detected in breast tissue and breast carcinoma specimens, where it is frequently used as a marker of mammary epithelial origin in tumor biology research.

Structurally, Mammaglobin A contains conserved cysteine residues characteristic of secretoglobin proteins and forms stable secreted protein complexes within epithelial secretory pathways. Because Mammaglobin A is a secreted protein, it is commonly detected in epithelial cytoplasm and glandular luminal secretions depending on the tissue context and experimental system. These characteristics make Mammaglobin antibody reagents useful for studying epithelial differentiation, mammary gland biology, and breast cancer–associated protein expression.

Large-scale protein microarray validation provides additional confidence in antibody specificity by demonstrating selective recognition of the intended antigen among thousands of potential off-target proteins. Mammaglobin Antibody - Microarray Specificity Validation (clone MGB/4057R) therefore offers a specificity-confirmed reagent for detecting Mammaglobin A / SCGB2A2 in molecular and cellular protein expression studies.

Application Notes

Optimal dilution of the Mammaglobin Antibody - Microarray Specificity Validation should be determined by the researcher.

Immunogen

Recombinant full-length human Mammaglobin-1 protein was used as the immunogen for the recombinant Mammaglobin antibody.

Storage

Store the Mammaglobin antibody at 2-8oC (with azide) or aliquot and store at -20oC or colder (without azide).

Alternate Names

Mammaglobin A antibody, SCGB2A2 antibody, Secretoglobin family 2A member 2 antibody, Mammary gland secretoglobin antibody, Mammaglobin breast marker antibody

Cross
Bulk Quote Request Form
Name*:
Organization*:
Email*:
Phone Number*:
Catalog No.*:
Comments and Specifics(amount, formulation, etc.)*:
Validation code: Captchapackage Image


Can't read the image? click here to refresh.
    *required field

Your bulk quote request has been submitted successfully!

Please contact us if you have any questions.