• Tel: 858.663.9055
  • SeparatorEmail: info@nsjbio.com
  • Tel: 858.663.9055
  • Email: info@nsjbio.com
Home >> Antibodies >> Mammaglobin A Antibody Recombinant Mouse MAb / SCGB2A2 Antibody

Mammaglobin A Antibody Recombinant Mouse MAb / SCGB2A2 Antibody [clone rMGB/6619] (V9143)

  Catalog No Formulation Size Price (USD)  
Image V9143-100UG 0.2 mg/ml in 1X PBS with 0.1 mg/ml BSA (US sourced), 0.05% sodium azide 100 ug 559
Image
V9143-20UG 0.2 mg/ml in 1X PBS with 0.1 mg/ml BSA (US sourced), 0.05% sodium azide 20 ug 259
Image
V9143SAF-100UG 1 mg/ml in 1X PBS; BSA free, sodium azide free 100 ug 559
Microvalidated Recmousemono
Bulk quote request
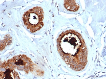
Mammaglobin A Antibody Recombinant Mouse MAb (clone rMGB/6619) immunohistochemistry of human lactating breast tissue. FFPE human lactating breast tissue was stained with Mammaglobin A Antibody Recombinant Mouse MAb (clone rMGB/6619). HRP-DAB brown chromogenic signal highlights strong cytoplasmic staining in secretory epithelial cells lining mammary glandular structures and luminal secretions, consistent with elevated expression of Mammaglobin A / SCGB2A2 in lactating breast epithelium, while surrounding stromal cells show minimal staining. Heat-induced epitope retrieval was performed by boiling tissue sections in pH 9 10mM Tris with 1mM EDTA for 20 minutes followed by cooling prior to staining.
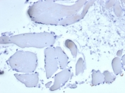
Negative control: IHC staining of FFPE human skeletal muscle with recombinant Mammaglobin A antibody (rMGB/6619) at 2ug/ml in PBS for 30min RT. HIER: boil tissue sections in pH 9 10mM Tris with 1mM EDTA for 20 min and allow to cool before testing.
SDS-PAGE analysis of purified, BSA-free Mammaglobin A Antibody Recombinant Mouse MAb clone rMGB/6619) as confirmation of integrity and purity.
Availability 1-3 business days
Species Reactivity Human
Format Purified
Host Mouse
Clonality Recombinant Mouse Monoclonal
Isotype Mouse IgG1, kappa
Clone Name rMGB/6619
Purity Protein A/G affinity
UniProt Q13296
Localization Cytoplasm
Applications Immunohistochemistry (FFPE) : 1-2ug/ml
Limitations This Mammaglobin A antibody is available for research use only.
Review this product on BioCompare and get a $20 Amazon gift card

Related Products

Description

Mammaglobin A (SCGB2A2) is a secreted epithelial glycoprotein encoded by the SCGB2A2 gene and belongs to the secretoglobin family of small secreted proteins associated with mammary epithelial differentiation. Mammaglobin A Antibody Recombinant Mouse MAb rMGB/6619 recognizes Mammaglobin A / SCGB2A2 and targets a protein widely studied as a marker of mammary epithelial cells and breast carcinoma.

Mammaglobin A antibody, also referred to as Mammaglobin antibody or SCGB2A2 antibody in the literature, detects a protein predominantly produced by luminal epithelial cells of the mammary gland. Mammaglobin A is secreted into glandular lumens as part of normal epithelial secretory activity within mammary tissue. Because of this relatively restricted tissue distribution, Mammaglobin A expression has been extensively examined in studies of mammary gland biology and breast tumor origin.

Structurally, Mammaglobin A contains conserved cysteine residues characteristic of secretoglobin family proteins, contributing to stable folding and function within epithelial secretory pathways. As a secreted epithelial protein, Mammaglobin is typically detected in the cytoplasm of mammary epithelial cells and may also be present within luminal secretions depending on tissue architecture and experimental preparation. These localization patterns reflect the role of Mammaglobin within glandular epithelial secretory processes.

Expression of Mammaglobin A is frequently observed in breast epithelial cells and breast carcinoma specimens, where it reflects the differentiated state of mammary epithelial tumor cells. In breast tumors, Mammaglobin expression is often detected within epithelial tumor cell populations forming glandular structures, while surrounding stromal cells and non-epithelial tissue components typically show little to no staining. These expression patterns have made Mammaglobin a widely studied marker in breast cancer research and epithelial tumor characterization.

Mammaglobin A Antibody Recombinant Mouse MAb (clone rMGB/6619) is developed as a recombinant mouse monoclonal antibody designed to detect Mammaglobin A / SCGB2A2 in protein expression studies. Antibodies targeting Mammaglobin are commonly used in investigations of mammary epithelial differentiation, tumor biology, and protein localization in breast tissue and breast cancer models.

Application Notes

Optimal dilution of the Mammaglobin A Antibody Recombinant Mouse MAb should be determined by the researcher.

Immunogen

Recombinant full-length human Mammaglobin/SCGB2A2 protein was used as the immunogen for the recombinant Mammaglobin A antibody.

Storage

Aliquot the Mammaglobin A antibody and store frozen at -20oC or colder. Avoid repeated freeze-thaw cycles.

Alternate Names

Mammaglobin antibody, SCGB2A2 antibody, Mammaglobin breast marker antibody, Secretoglobin family 2A member 2 antibody, Mammary gland secretoglobin antibody

Cross
Bulk Quote Request Form
Name*:
Organization*:
Email*:
Phone Number*:
Catalog No.*:
Comments and Specifics(amount, formulation, etc.)*:
Validation code: Captchapackage Image


Can't read the image? click here to refresh.
    *required field

Your bulk quote request has been submitted successfully!

Please contact us if you have any questions.