• Tel: 858.663.9055
  • SeparatorEmail: info@nsjbio.com
  • Tel: 858.663.9055
  • Email: info@nsjbio.com
Home >> Antibodies >> LFA-2 Antibody Recombinant Mouse mAb / CD2

LFA-2 Antibody Recombinant Mouse mAb / CD2 [clone rLFA2/8516] (V4656)

  Catalog No Formulation Size Price (USD)  
Image V4656-100UG 0.2 mg/ml in 1X PBS with 0.1 mg/ml BSA (US sourced), 0.05% sodium azide 100 ug 559
Image
V4656-20UG 0.2 mg/ml in 1X PBS with 0.1 mg/ml BSA (US sourced), 0.05% sodium azide 20 ug 259
Image
V4656SAF-100UG 1 mg/ml in 1X PBS; BSA free, sodium azide free 100 ug 559
Microvalidated Recmousemono
Bulk quote request
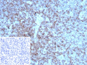
Immunohistochemistry analysis of LFA-2 antibody (clone rLFA2/8516) in human tonsil tissue. Formalin-fixed, paraffin-embedded tonsil shows strong membranous HRP-DAB brown staining in interfollicular T lymphocytes, consistent with CD2 expression on mature T cells. Germinal center regions display comparatively reduced staining, highlighting the expected distribution of T cell populations within lymphoid tissue. Hematoxylin counterstain clearly delineates nuclear morphology and overall tonsillar architecture. The inset shows PBS used in place of primary antibody as a negative control, confirming absence of non-specific secondary antibody binding. Heat-induced epitope retrieval was performed by boiling tissue sections in 10 mM Tris with 1 mM EDTA, pH 9.0, for 20 minutes followed by cooling prior to staining.
IHC staining of FFPE human tonsil tissue with recombinant LFA-2 antibody (clone rLFA2/8516) HIER: boil tissue sections in pH 9 10mM Tris with 1mM EDTA for 20 min and allow to cool before testing.
SDS-PAGE analysis of purified, BSA-free recombinant LFA-2 antibody (clone rLFA2/8516) as confirmation of integrity and purity.
Availability 1-3 business days
Species Reactivity Human
Format Purified
Host Mouse
Clonality Recombinant Mouse Monoclonal
Isotype Mouse IgG1, kappa
Clone Name rLFA2/8516
Purity Protein A/G affinity
UniProt P06729
Localization Cell surface
Applications Immunohistochemistry (FFPE) : 1-2ug/ml for 30 min at RT
Limitations This LFA-2 antibody is available for research use only.
Review this product on BioCompare and get a $20 Amazon gift card

Related Products

  • Applications : WB, IHC-P
    Reactivity : Human
    Recrabbitmono
  • Applications : IHC-P
    Reactivity : Human
    Recmousemono
  • Applications : IHC-P
    Reactivity : Human
    Microvalidated
  • Applications : IHC-P
    Reactivity : Human
    Microvalidated
  • Applications : Functional studies, FACS, IF, WB
    Reactivity : Human
  • Applications : Functional studies, FACS, IF, WB
    Reactivity : Human
  • Applications : Functional studies, FACS, IF
    Reactivity : Human
    Citation  Citations(1)
  • Applications : Functional studies, FACS, IF
    Reactivity : Human
    Citation  Citations(3)
  • Applications : FACS, IF
    Reactivity : Human
  • Applications : WB
    Reactivity : Human
    Rab Mono Image
  • Applications : FACS, IF
    Reactivity : Human
  • Applications : Functional Studies, FACS
    Reactivity : Human
  • Applications : IHC-P
    Reactivity : Human
  • Applications : WB
    Reactivity : Mouse, Rat
  • Applications : WB, IHC-P
    Reactivity : Mouse
  • Applications : IHC-P, IF, Direct ELISA
    Reactivity : Mouse, Rat
  • Applications : WB, FACS, IP, IHC-P, Direct ELISA
    Reactivity : Human

Description

LFA-2 antibody, also known as CD2 molecule antibody, recognizes CD2, a type I transmembrane glycoprotein encoded by the CD2 gene and commonly referred to as LFA-2 and T cell surface antigen CD2. CD2 is a member of the immunoglobulin superfamily and is strongly expressed on the surface of T lymphocytes and natural killer cells. As a key adhesion and signaling receptor, CD2 plays an essential role in T cell activation and immune synapse formation. LFA-2 antibody supports research focused on T cell biology, lymphoid tissue architecture, and immune signaling pathways.

Structurally, CD2 contains two extracellular immunoglobulin-like domains, a single transmembrane region, and a cytoplasmic tail that participates in intracellular signaling events. The extracellular domains mediate interaction with CD58, its principal ligand on antigen-presenting cells and other immune cells. Engagement of CD2 with CD58 enhances T cell receptor signaling, stabilizes cell-cell contact, and promotes downstream responses including cytokine production, proliferation, and cytotoxic activity. CD2 is localized predominantly to the plasma membrane, where it contributes to the organization of signaling complexes within the immune synapse.

In normal human tissues, CD2 expression is restricted to thymocytes, peripheral T cells, and natural killer cells. Within lymph nodes and tonsil, CD2 staining is typically observed in interfollicular T cell zones, while B cell follicles show minimal expression. This lineage-restricted distribution makes CD2 an important marker for identifying T cell populations in research settings. CD2 expression patterns are also relevant in studies of T cell leukemias and lymphomas, where membranous localization assists in immunophenotypic characterization of lymphoid malignancies.

Clone rLFA2/8516 is a recombinant mouse monoclonal antibody generated through defined sequence expression to promote batch-to-batch consistency and reliable performance. LFA-2 antibody can be used to investigate T cell adhesion mechanisms, immune activation pathways, and the structural organization of lymphoid tissues. Its defined specificity makes it a valuable tool for research applications involving T cell development, immune regulation, and lymphoid disease models.

Application Notes

Optimal dilution of the LFA-2 antibody should be determined by the researcher.

Immunogen

A recombinant fragment of the human protein was used as the immunogen for the recombinant LFA-2 antibody.

Storage

Aliquot the LFA-2 antibody and store frozen at -20oC or colder. Avoid repeated freeze-thaw cycles.

Cross
Bulk Quote Request Form
Name*:
Organization*:
Email*:
Phone Number*:
Catalog No.*:
Comments and Specifics(amount, formulation, etc.)*:
Validation code: Captchapackage Image


Can't read the image? click here to refresh.
    *required field

Your bulk quote request has been submitted successfully!

Please contact us if you have any questions.