• Tel: 858.663.9055
  • SeparatorEmail: info@nsjbio.com
  • Tel: 858.663.9055
  • Email: info@nsjbio.com
Home >> Antibodies >> Keratin 20 Antibody Recombinant Rabbit MAb KRT20/4879R / CK20/Cytokeratin 20 Antibody

Keratin 20 Antibody Recombinant Rabbit MAb KRT20/4879R / CK20/Cytokeratin 20 Antibody [clone KRT20/4879R] (V9328)

  Catalog No Formulation Size Price (USD)  
Image V9328-100UG 0.2 mg/ml in 1X PBS with 0.1 mg/ml BSA (US sourced), 0.05% sodium azide 100 ug 559
Image
V9328-20UG 0.2 mg/ml in 1X PBS with 0.1 mg/ml BSA (US sourced), 0.05% sodium azide 20 ug 259
Image
V9328SAF-100UG 1 mg/ml in 1X PBS; BSA free, sodium azide free 100 ug 559
Microvalidated Recrabbitmono
Bulk quote request
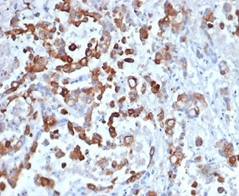
Keratin 20 Antibody Recombinant Rabbit MAb KRT20/4879R. Immunohistochemistry analysis of FFPE human colon tissue using recombinant rabbit monoclonal Keratin 20 antibody (clone KRT20/4879R) at 2 ug/ml. HRP-DAB brown chromogenic staining highlights cytoplasmic Keratin 20 / Cytokeratin 20 (KRT20) expression in epithelial cells lining colonic glandular structures, while surrounding stromal cells remain largely negative. The staining pattern reflects the expected epithelial localization of this intermediate filament protein in gastrointestinal mucosa. HIER: boil tissue sections in pH 9 10 mM Tris with 1 mM EDTA for 20 min and allow to cool before testing.
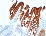
IHC staining of FFPE human colon carcinoma tissue with recombinant Keratin 20 antibody (clone KRT20/4879R) at 2ug/ml. Inset: PBS instead of primary Ab to control for secondary Ab binding. HIER: boil tissue sections in pH 9 10mM Tris with 1mM EDTA for 20 min and allow to cool before testing.
SDS-PAGE analysis of purified, BSA-free recombinant Keratin 20 antibody (clone KRT20/4879R) as confirmation of integrity and purity.
Keratin 20 Antibody Recombinant Rabbit MAb KRT20/4879R. Western blot analysis of human HT-29 cell lysate using Keratin 20 Antibody Recombinant Rabbit MAb KRT20/4879R. Lane 1: human HT-29 cell lysate. A band is detected at approximately 46 kDa, consistent with the predicted molecular weight of Keratin 20 / Cytokeratin 20 (KRT20), an epithelial intermediate filament protein commonly expressed in gastrointestinal epithelial cells such as HT-29 colorectal adenocarcinoma cells.
Availability 1-3 business days
Species Reactivity Human
Format Purified
Host Rabbit
Clonality Recombinant Rabbit Monoclonal
Isotype Rabbit IgG, kappa
Clone Name KRT20/4879R
Purity Protein A/G affinity
UniProt P35900
Localization Cytoplasmic
Applications Immunohistochemistry (FFPE) : 2-4ug/ml
Western Blot : 2-4ug/ml
Limitations This Keratin 20 antibody is available for research use only.
Review this product on BioCompare and get a $20 Amazon gift card

Related Products

Description

Keratin 20 (KRT20) is a type I acidic cytokeratin that belongs to the epithelial intermediate filament family responsible for maintaining cytoskeletal stability and structural integrity in epithelial cells. Keratin 20 is localized primarily within the cytoplasm of epithelial cells where it participates in intermediate filament networks that provide mechanical support and maintain epithelial tissue architecture. Keratin 20 Antibody Recombinant Rabbit MAb KRT20/4879R recognizes Cytokeratin 20 and enables detection of this epithelial cytoskeletal protein in research studies examining epithelial differentiation, epithelial cell identity, and cytoskeletal organization.

Keratin 20 is encoded by the KRT20 gene located on chromosome 17q21 within a genomic cluster containing multiple keratin genes involved in epithelial cytoskeletal organization. The protein is widely known in the literature as Cytokeratin 20 or CK20, two commonly used synonyms in epithelial biology and cancer research. Keratin 20 forms heterodimers with type II keratins such as keratin 8, and these dimers polymerize to generate intermediate filament networks that extend throughout the cytoplasm. These filament structures help stabilize epithelial cells and maintain the mechanical resilience of tissues exposed to continuous mechanical stress.

Keratin 20 expression is strongly associated with differentiated epithelial cell populations. High expression is observed in intestinal epithelial cells, gastric mucosa, and urothelial umbrella cells. Because of this restricted distribution pattern, Cytokeratin 20 antibody reagents are frequently used as markers for epithelial lineage identification. Detection of KRT20 protein therefore supports research examining epithelial differentiation, epithelial tissue development, and epithelial organization.

In cancer biology, Keratin 20 expression is frequently retained in tumors derived from gastrointestinal and urothelial epithelia. CK20 expression is commonly detected in colorectal carcinoma, gastric carcinoma, pancreatic carcinoma, and bladder carcinoma, where it serves as a marker of epithelial differentiation. Detection of Cytokeratin 20 assists research studies investigating epithelial tumor biology, epithelial cytoskeletal organization, and differentiation states within tumor cells.

The recombinant rabbit monoclonal antibody clone KRT20/4879R targets Keratin 20 and can be used to detect KRT20 protein in research applications involving epithelial cytoskeletal proteins. Detection of Cytokeratin 20 supports studies examining epithelial differentiation pathways, epithelial tissue organization, and epithelial tumor biology.

Application Notes

Optimal dilution of the Keratin 20 Antibody Recombinant Rabbit MAb KRT20/4879R should be determined by the researcher.

Immunogen

A portion of amino acids 196-323 was used as the immunogen for the recombinant Keratin 20 antibody.

Storage

Aliquot the Keratin 20 antibody and store frozen at -20oC or colder. Avoid repeated freeze-thaw cycles.

Alternate Names

Cytokeratin 20 antibody, CK20 antibody, KRT20 antibody, Cytokeratin-20 antibody, Keratin 20 protein antibody

Cross
Bulk Quote Request Form
Name*:
Organization*:
Email*:
Phone Number*:
Catalog No.*:
Comments and Specifics(amount, formulation, etc.)*:
Validation code: Captchapackage Image


Can't read the image? click here to refresh.
    *required field

Your bulk quote request has been submitted successfully!

Please contact us if you have any questions.