• Tel: 858.663.9055
  • SeparatorEmail: info@nsjbio.com
  • Tel: 858.663.9055
  • Email: info@nsjbio.com
Home >> Antibodies >> Recombinant IRF4 Antibody / Interferon regulatory factor 4

Recombinant IRF4 Antibody / Interferon regulatory factor 4 [clone RM352] (R20374)

  Catalog No Formulation Size Price (USD)  
Image R20374-0.1ML Antibody in PBS with 50% glycerol, 1% BSA and 0.09% sodium azide 100 ul 439
Microvalidated Recrabbitmono
Bulk quote request
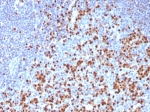
IHC staining of FFPE human tonsil tissue with recombinant IRF4 antibody at 1:800.
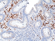
IHC staining of FFPE human appendix tissue with recombinant IRF4 antibody at 1:800.
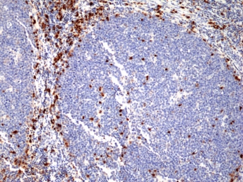
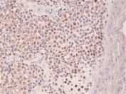
IHC staining of FFPE human melonoma tissue with recombinant IRF4 antibody at 1:250.
Western blot testing of human Raji cell lysate with recombinant IRF4 antibody at 1:2000 dilution. Predicted molecular weight ~51 kDa.
Availability 1-3 business days
Species Reactivity Human
Format Purified
Host Rabbit
Clonality Recombinant Rabbit Monoclonal
Isotype Rabbit IgG
Clone Name RM352
Purity Protein A purified from animal origin-free supernatant
UniProt Q15306
Localization Nuclear
Applications Immunohistochemistry (FFPE) : 1:200-1:800
Western Blot : 1:1000-1:2000
Limitations This recombinant IRF4 antibody is available for research use only.
Review this product on BioCompare and get a $20 Amazon gift card

Related Products

Description

This antibody reacts to human MUM1/IRF4 (Interferon regulatory factor 4).

Application Notes

The stated application concentrations are suggested starting points. Titration of the recombinant IRF4 antibody may be required due to differences in protocols and secondary/substrate sensitivity.

Immunogen

A peptide corresponding to the C-terminus of human MUM1/IRF4 was used as the immunogen for the recombinant IRF4 antibody.

Storage

Store the recombinant IRF4 antibody at -20oC.

Cross
Bulk Quote Request Form
Name*:
Organization*:
Email*:
Phone Number*:
Catalog No.*:
Comments and Specifics(amount, formulation, etc.)*:
Validation code: Captchapackage Image


Can't read the image? click here to refresh.
    *required field

Your bulk quote request has been submitted successfully!

Please contact us if you have any questions.