• Tel: 858.663.9055
  • SeparatorEmail: info@nsjbio.com
  • Tel: 858.663.9055
  • Email: info@nsjbio.com
Home >> Antibodies >> Recombinant IBA1 Antibody - Microarray Validated / AIF1

Recombinant IBA1 Antibody - Microarray Validated / AIF1 [clone rAIF1/1909] (V3831)

  Catalog No Formulation Size Price (USD)  
Image V3831-100UG 0.2 mg/ml in 1X PBS with 0.1 mg/ml BSA (US sourced) and 0.05% sodium azide 100 ug 559
Image
V3831-20UG 0.2 mg/ml in 1X PBS with 0.1 mg/ml BSA (US sourced) and 0.05% sodium azide 20 ug 259
Image
V3831SAF-100UG 1 mg/ml in 1X PBS; BSA free, sodium azide free 100 ug 559
Microvalidated Recmousemono
Bulk quote request
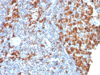
Immunohistochemistry of Recombinant IBA1 Antibody Microarray Validated clone rAIF1/1909 in human lymph node tissue. Formalin-fixed, paraffin-embedded lymph node demonstrates cytoplasmic HRP-DAB brown staining in numerous macrophage-lineage cells within the paracortical and sinusoidal regions, consistent with Allograft inflammatory factor 1 expression in tissue macrophages and activated immune cells. Heat-induced epitope retrieval was performed by boiling tissue sections in pH 6, 10mM citrate buffer for 10-20 minutes followed by cooling at room temperature for 20 minutes prior to staining. The recombinant monoclonal antibody clone rAIF1/1909 was used as the primary antibody.
Immunohistochemistry of Recombinant IBA1 Antibody Microarray Validated clone rAIF1/1909 in human tonsil tissue. Formalin-fixed, paraffin-embedded tonsil demonstrates cytoplasmic HRP-DAB brown staining in scattered macrophage-lineage cells within the lymphoid parenchyma and interfollicular regions, consistent with Allograft inflammatory factor 1 expression in tissue macrophages and activated immune cells. Heat-induced epitope retrieval was performed by boiling tissue sections in pH 6, 10mM citrate buffer for 10-20 minutes followed by cooling at room temperature for 20 minutes prior to staining. The recombinant monoclonal antibody clone rAIF1/1909 was used as the primary antibody.
Human protein microarray specificity validation of Recombinant IBA1 Antibody Microarray Validated clone rAIF1/1909. Analysis was performed using the HuProt(TM) microarray containing more than 19,000 full-length human proteins. The antibody demonstrates the highest signal intensity for AIF1, ranking first among all proteins tested with a strong Z-score and clear separation from lower ranked proteins, supporting high target specificity of clone rAIF1/1909.
Z- and S-score explanation: The Z-score represents the strength of signal generated when the antibody, together with a fluorescently labeled anti-IgG secondary antibody, binds to a specific protein on the HuProt(TM) array. Z-scores are expressed in units of standard deviations above the mean signal of all proteins on the array. Proteins are ranked in descending order according to Z-score. The S-score represents the difference in Z-scores between adjacent ranked proteins and reflects the relative specificity of the antibody for its intended target.
SDS-PAGE analysis of purified, BSA-free recombinant IBA1 antibody (clone rAIF1/1909) as confirmation of integrity and purity.
Availability 1-3 business days
Species Reactivity Human
Format Purified
Host Mouse
Clonality Recombinant Mouse Monoclonal
Isotype Mouse IgG1, kappa
Clone Name rAIF1/1909
Purity Protein G affinity chromatography
UniProt P55008
Localization Cytoplasmic, membranous
Applications Immunohistochemistry (FFPE) : 1-2ug/ml for 30 min at RT
Limitations This recombinant IBA1 antibody is available for research use only.
Review this product on BioCompare and get a $20 Amazon gift card

Related Products

Description

Recombinant IBA1 Antibody Microarray Validated clone rAIF1/1909 recognizes Allograft inflammatory factor 1, a cytoplasmic calcium-binding protein encoded by the AIF1 gene on chromosome 6p21.3. Allograft inflammatory factor 1, commonly referred to as IBA1 in the literature, is a 17 kDa protein predominantly expressed in microglia within the central nervous system and in activated macrophages in peripheral tissues. IBA1 antibody, also known as AIF1 antibody, is widely used in studies of neuroinflammation, immune activation, and macrophage biology. This recombinant monoclonal antibody has been validated using a human protein microarray platform containing more than 19,000 full-length human proteins, supporting high target specificity for AIF1.

IBA1 belongs to the EF-hand calcium-binding protein family and contains two EF-hand motifs that mediate calcium-dependent conformational changes. Through interaction with actin and associated cytoskeletal components, Allograft inflammatory factor 1 regulates membrane ruffling, phagocytosis, and cellular migration. It is upregulated in response to inflammatory stimuli and is commonly used as a marker of activated microglia in experimental models of neurodegenerative disease, traumatic brain injury, and inflammatory neurologic disorders.

Expression of AIF1 is largely restricted to microglia in the brain and spinal cord and to tissue macrophages in peripheral organs such as spleen, lymph node, and tonsil. Neurons and astrocytes typically exhibit minimal expression under resting conditions, making IBA1 antibody a valuable tool for distinguishing resident immune cells from other neural populations. Increased IBA1 expression has been documented in Alzheimer disease, Parkinson disease, multiple sclerosis, and glioma, reflecting microglial activation and immune cell infiltration in these conditions.

Structurally, Allograft inflammatory factor 1 is a small intracellular protein that participates in signaling pathways regulating immune cell proliferation and activation. Its calcium-dependent actin-binding properties contribute to the morphological transition of microglia from ramified to amoeboid phenotypes during inflammatory responses. Through proteome-wide microarray validation and its established role as a marker of microglial and macrophage activation, Recombinant IBA1 Antibody Microarray Validated clone rAIF1/1909 provides a highly specific tool for neuroimmunology and inflammatory research.

For detection of AIF1 as a microglia marker across tissue types, including protein microarray validated performance, see our IBA1 antibody.

Application Notes

Titering of the recombinant IBA1 antibody microarray validated clone rAIF1/1909 may be required for optimal performance.

Immunogen

A portion of amino acids 1-146 from the human protein was used as the immunogen for the recombinant IBA1 antibody microarray validated clone rAIF1/1909.

Storage

Store the recombinant IBA1 antibody at 2-8oC (with azide) or aliquot and store at -20oC or colder (without azide).

Cross
Bulk Quote Request Form
Name*:
Organization*:
Email*:
Phone Number*:
Catalog No.*:
Comments and Specifics(amount, formulation, etc.)*:
Validation code: Captchapackage Image


Can't read the image? click here to refresh.
    *required field

Your bulk quote request has been submitted successfully!

Please contact us if you have any questions.